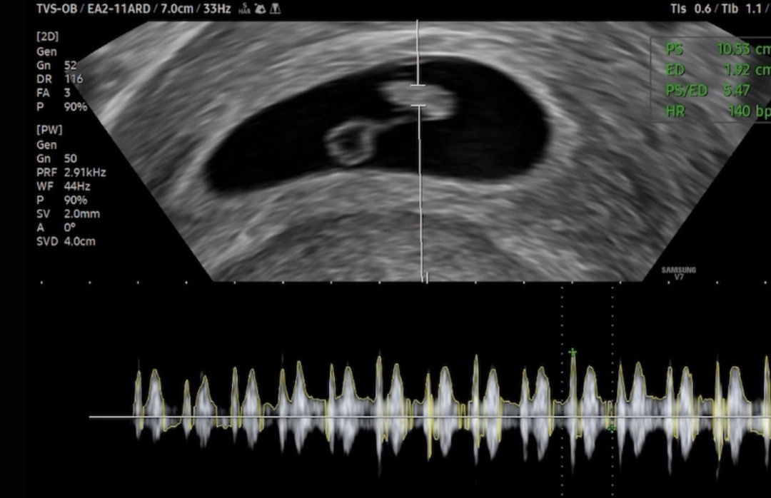
일주일 차이 나도 상관 없어요 커가는 크기에 따라 초음파에서 보이는 예정일은 계속 조금씩 다를 수 있으니 신경 안 쓰셔도 돼요 난황과 멀어보이는 것도 아무 문제 없어요 아기랑 잘 연결되어 있어서 영양분 받는데는 이상이 없습니다
자유 베동
/ 자유주제
7주차 초음파

안녕하세요 어제 7주차 초음파 보고왔습니당 아기 크기는 0.94cm, 심박수는 140bpm이라고 하셨는데 생예 막날 기준으로는 7주 2일인데 초음파는 7주 0일로 나왔네용 이틀 차이는 괜찮은거죠? 그리고 난황도 좀 커보이고 난황과 아기 사이가 떨어져있는데 이것도 괜찮은건가요? 선생님은 별다른 말씀 없으셨는데 괜히 걱정돼서 질문드려봅니당..!
댓글
1

자세한 답변 감사해요🥰
자유 베동 베동 전체글
함께 많이 본 베동글

베이비빌리 앱 다운로드받고 다른 엄빠들이 작성한 다양한 고민&꿀팁글을 구경해보세요


