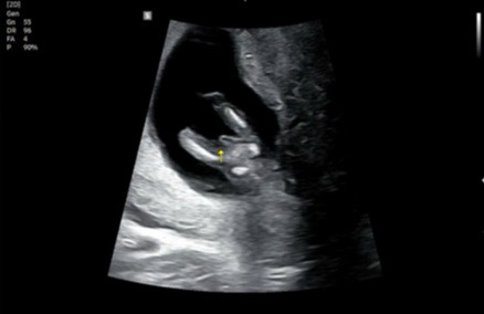
남자아기예요??
2026년 1월 베동
/ 자유주제
12주 6일인데 성별 알았네요 ㅎㅎ

초음파 보는 중에 애기가 보여줘서 빨리 성별을 알았네요ㅋㅋㅋㅋ 표시해주신 선생님ㅋㅋ
댓글
3

네 ㅋㅋㅋ

13주차인데 담주병원가는데 성별알수있었음좋겠네요~!
함께 많이 본 베동글
🔥 실시간 2026년 1월 베동 인기글

베이비빌리 앱 다운로드받고 다른 엄빠들이 작성한 다양한 고민&꿀팁글을 구경해보세요

베이비빌리 앱에서
더 많은 베동글을 볼 수 있어요!

베이비빌리 앱에서 더 많은 베동글을 볼 수 있어요!
2026년 1월 베동
/ 자유주제
12주 6일인데 성별 알았네요 ㅎㅎ

초음파 보는 중에 애기가 보여줘서 빨리 성별을 알았네요ㅋㅋㅋㅋ 표시해주신 선생님ㅋㅋ
댓글
3
남자아기예요??
네 ㅋㅋㅋ
13주차인데 담주병원가는데 성별알수있었음좋겠네요~!
함께 많이 본 베동글
🔥 실시간 2026년 1월 베동 인기글

베이비빌리 앱 다운로드받고 다른 엄빠들이 작성한 다양한 고민&꿀팁글을 구경해보세요
주식회사 빌리지베이비
대표이사 이정윤
통신판매업신고번호
|
사업자등록번호 581-88-01277
|
서울특별시 영등포구 의사당대로 83, 오투타워 4층
|
|
Language
Copyright Baby Billy. All rights reserved.
주식회사 빌리지베이비
대표이사 이정윤
통신판매업신고번호
사업자등록번호 581-88-01277
서울특별시 영등포구 의사당대로 83, 오투타워 4층
|
|
Language
Copyright Baby Billy. All rights reserved.