딸같아료 아무것도 안보이네용ㅇㅇ
2026년 1월 베동
/ 자유주제
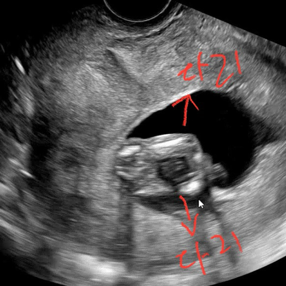
아기 가랑이 사이 같이 봐주세요🤣

제가 봤을 때는 매끈한거 같은데 어떠신지 다들 참견 많이많이 부탁드려요🙏
댓글
2
딸같아요~~
함께 많이 본 베동글
🔥 실시간 2026년 1월 베동 인기글

베이비빌리 앱 다운로드받고 다른 엄빠들이 작성한 다양한 고민&꿀팁글을 구경해보세요

베이비빌리 앱에서
더 많은 베동글을 볼 수 있어요!

베이비빌리 앱에서 더 많은 베동글을 볼 수 있어요!
2026년 1월 베동
/ 자유주제
아기 가랑이 사이 같이 봐주세요🤣

제가 봤을 때는 매끈한거 같은데 어떠신지 다들 참견 많이많이 부탁드려요🙏
댓글
2
딸같아료 아무것도 안보이네용ㅇㅇ
딸같아요~~
함께 많이 본 베동글
🔥 실시간 2026년 1월 베동 인기글

베이비빌리 앱 다운로드받고 다른 엄빠들이 작성한 다양한 고민&꿀팁글을 구경해보세요
주식회사 빌리지베이비
대표이사 이정윤
통신판매업신고번호
|
사업자등록번호 581-88-01277
|
서울특별시 영등포구 의사당대로 83, 오투타워 4층
|
|
Language
Copyright Baby Billy. All rights reserved.
주식회사 빌리지베이비
대표이사 이정윤
통신판매업신고번호
사업자등록번호 581-88-01277
서울특별시 영등포구 의사당대로 83, 오투타워 4층
|
|
Language
Copyright Baby Billy. All rights reserved.