2026년 3월 베동
/ 자유주제
6주0일 복부초음파 보고왔어요(미국)

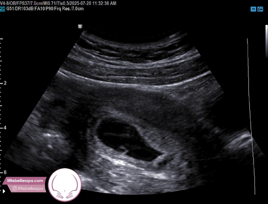
미국 사는 예비맘이에요~여기서는 바로 병원갈수기없기때문에 8주에 의사쌤보러가기전에 사설업체 가서 초음파 보고왔어요. (사설업체는 의사가 아니라 초음파 테크니션이 봐줘요) 아무래도 병원은 아니라 그런지 복부초음파로 해주시더라구요. 애기집,난황,애기 콩닥콩닥하는거까지 보고왔는데 심장소리는 못들었어요ㅠㅠ 복부초음파라그런지 화질이 좀 떨어지는거같아서 다른분들처럼 난황이 다이아처럼 이쁘게 딱! 안보이는데 괜찮은건지 봐주세여~~ 그리고 그 테크니션이 지나가는말로 애기집이 똥~그랗지않아서 그게조금걱정이지만 나중에 너의사보러가면 더 자세히 설명해줄거야~하고말았는데 그말이 너뮤걸려요ㅠㅠ 찾아보니 초음파 각도에따라 구럴수있다고 걱정하지말라는데 맞나요? 초음파보고와도 걱정투성이네요ㅠㅠ😭😭 아! 또 애기크기가 0.42cm로 나왔는데 괜찮은 크기인가요?
댓글
0
아직 남겨진 댓글이 없어요.
2026년 3월 베동 베동 전체글
함께 많이 본 베동글

베이비빌리 앱 다운로드받고 다른 엄빠들이 작성한 다양한 고민&꿀팁글을 구경해보세요


