저도 아들 둘에 딸 하나라서.. 아들은 피하고 싶은데.. 예상으로 아들같다고 하셔서.. 남편이랑 둘이 허탈한 웃음중이랍니다😅
2026년 1월 베동
/ 자유주제
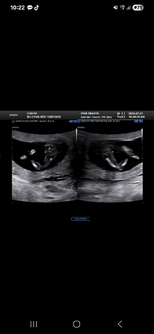
13주 성별이 궁금해요 다리 사이에 저것이...

아들 둘인 엄마는 딸을 기도하고 또 기도하는 중인데 혹시 저 다리 사이에 보이는 것이 ㄱ..ㅗ...환...인가요...?😭😭😭 첫째둘째때는 선생님께서 말씀하시기 전에 앗...🌶가 보인다 생각했는데 아들 맞았거든요...ㅎㅎ 제가 생각하는 고환이....맞나요.....?ㅠㅠ
댓글
6

사실 50% 마음을 놨어요 고환일 것 같아서......ㅠㅠㅠㅠㅋㅋㅋㅋㅋㅋㅋㅋㅋㅋㅋㅋ

맘님 성별나오셨나요?
저 첫째는.12주에.저렇게.보였는데 딸이얐어용

댓글 감사해요ㅠㅠㅠㅠ희망을 가져봅니다.ㅎㅎ
저 13주차에 저렇게 보였는데 15주차에 아들 확정이요.....ㅎㅎ

꺄악 안돼.....😭😭😭😭😭
안녕하세요 엄빠님! 베이비빌리입니다. 각도법이 궁금하신 엄빠님께만 알려드려요🙋🏻♀️🙋🏻♂️ 각도법에 관심 있는 엄빠들이 모여있는 게시글에서 의견을 나누어보면 어떨까요?👼🏻 지금 바로 각도법으로 울 아기 성별을 추측해보세요😍 👉🏻 지금 바로 성별 질문 남기기 https://app.babybilly.app/an0ehk
2026년 1월 베동 베동 전체글
함께 많이 본 베동글

베이비빌리 앱 다운로드받고 다른 엄빠들이 작성한 다양한 고민&꿀팁글을 구경해보세요


