각도에 따라서 그럴 수도 있어요! 의사 선생님께서 특별한 이야기 없으면 괜찮을 거예요!!
2026년 3월 베동
/ 자유주제
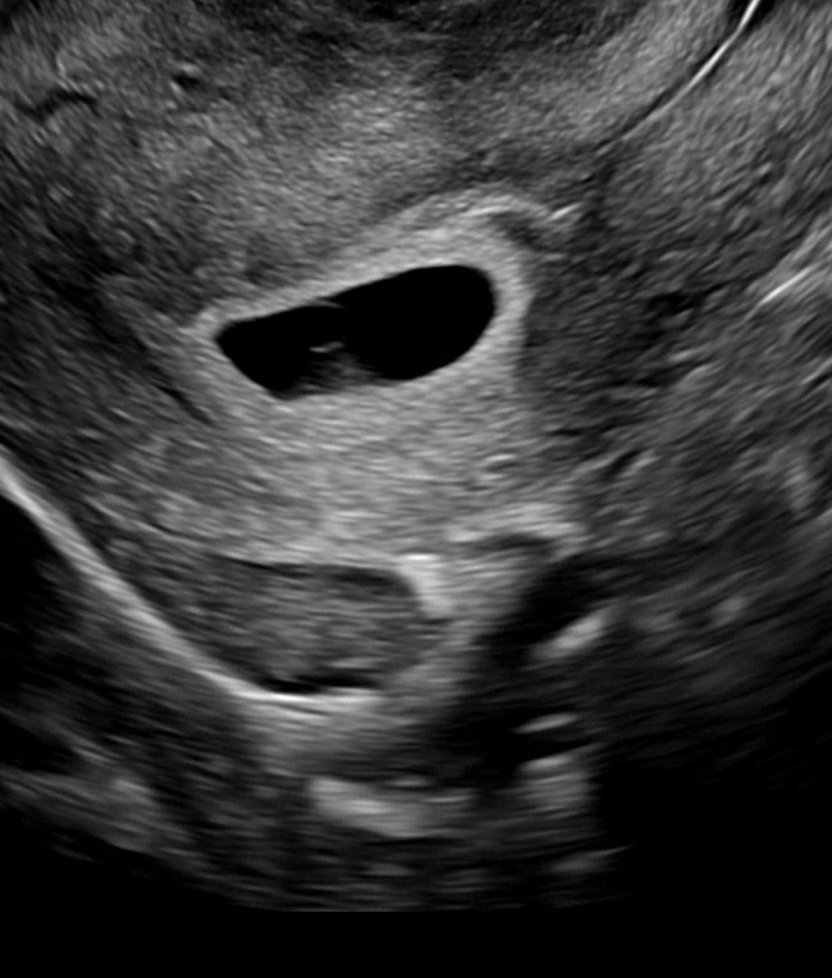
초음파 사진좀 봐주세용

오늘 5주5일인데, 5주0일에 출혈이슈 후에 아기집 찌그러졌고, 지금은 출혈x 피고임x 오늘 초음파에 난황이 너무 흐릿해서요! 처음 초음파봤을땐 난황 뚜렷햇거든요🥲
댓글
1

감사합니당..! 크기는 괜찮다고하셨는데, 너무 흐리네요 ㅠㅠ
2026년 3월 베동 베동 전체글
함께 많이 본 베동글

베이비빌리 앱 다운로드받고 다른 엄빠들이 작성한 다양한 고민&꿀팁글을 구경해보세요


