임신 초기엔 초음파 각도나 태아 위치 때문에 오해 생기는 경우도 많다고 들었어요. 의사 선생님도 일단 1주 뒤에 다시 보자고 하신 거면 급한 상황은 아니신 걸 거예요. 걱정되시는게 당연하지만, 일주일 뒤 진료까지는 부디 조금만 마음 추스르시길 바라요!
자유 베동
/ 자유주제
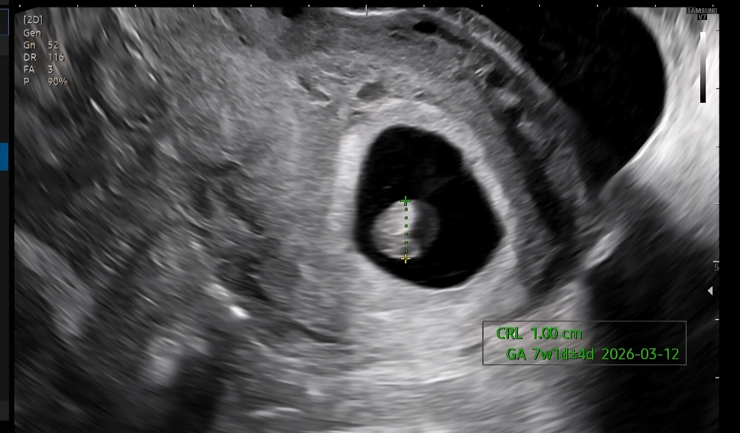
7주차 아기가 부은것같다고하는데

초음파 한참 보더니 아기가 부은것같다고 일시적인건지 문제가 있는건지 일주일 뒤에 보자고하셨어요 원래는 해당 의사선생님이 손바꿔서 다른 의사선생님께 또 확인을 해보려고했는데 다들 안계셔서 다른분한테는 진료를 못봤어요 이런 경우 겪어 보신적있나요?
댓글
2
아기가 진짜 부은거 같네요...큰병원 가보셔야할거같아요 원래 아가가 펼쳐져있는게 정상이거든요,,
자유 베동 베동 전체글
함께 많이 본 베동글

베이비빌리 앱 다운로드받고 다른 엄빠들이 작성한 다양한 고민&꿀팁글을 구경해보세요


