안녕하세요 엄빠님! 베이비빌리입니다. 각도법이 궁금하신 엄빠님께만 알려드려요🙋🏻♀️🙋🏻♂️ 각도법에 관심 있는 엄빠들이 모여있는 게시글에서 의견을 나누어보면 어떨까요?👼🏻 지금 바로 각도법으로 울 아기 성별을 추측해보세요😍 👉🏻 지금 바로 성별 질문 남기기 https://app.babybilly.app/8l9s1u
2026년 2월 베동
/ 자유주제
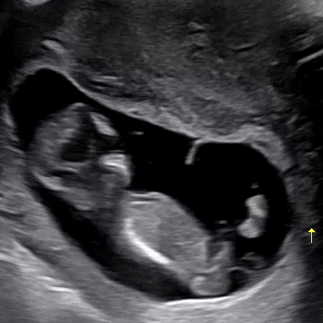
각도법 궁금해요🥹

제 눈에는 생식기가 안 보이는 것 같긴 한데,,,, 혹시 고수님들 눈에는 보이실까요🥲 각도법 엄청 연습했는데ㅋㅋㅋㅋㅋㅋㅋ 막상 제 아기 생식기는 알아보지도 못하겠네요🤣🤣
댓글
4
아들로 보여용🌶

댓글 감사합니당🥹❤️❤️
아들 같아유...!

우와앙 답변 감사해요🥹❤️❤️
추가,,🤣
2026년 2월 베동 베동 전체글
함께 많이 본 베동글

베이비빌리 앱 다운로드받고 다른 엄빠들이 작성한 다양한 고민&꿀팁글을 구경해보세요


