9주는 되야지 젤리곰을 볼수있는거군요?! 너무 귀엽네용!! 기운받아서 저두 젤리곰 보고오겟습니당 🥹💕
2026년 3월 베동
/ 자유주제
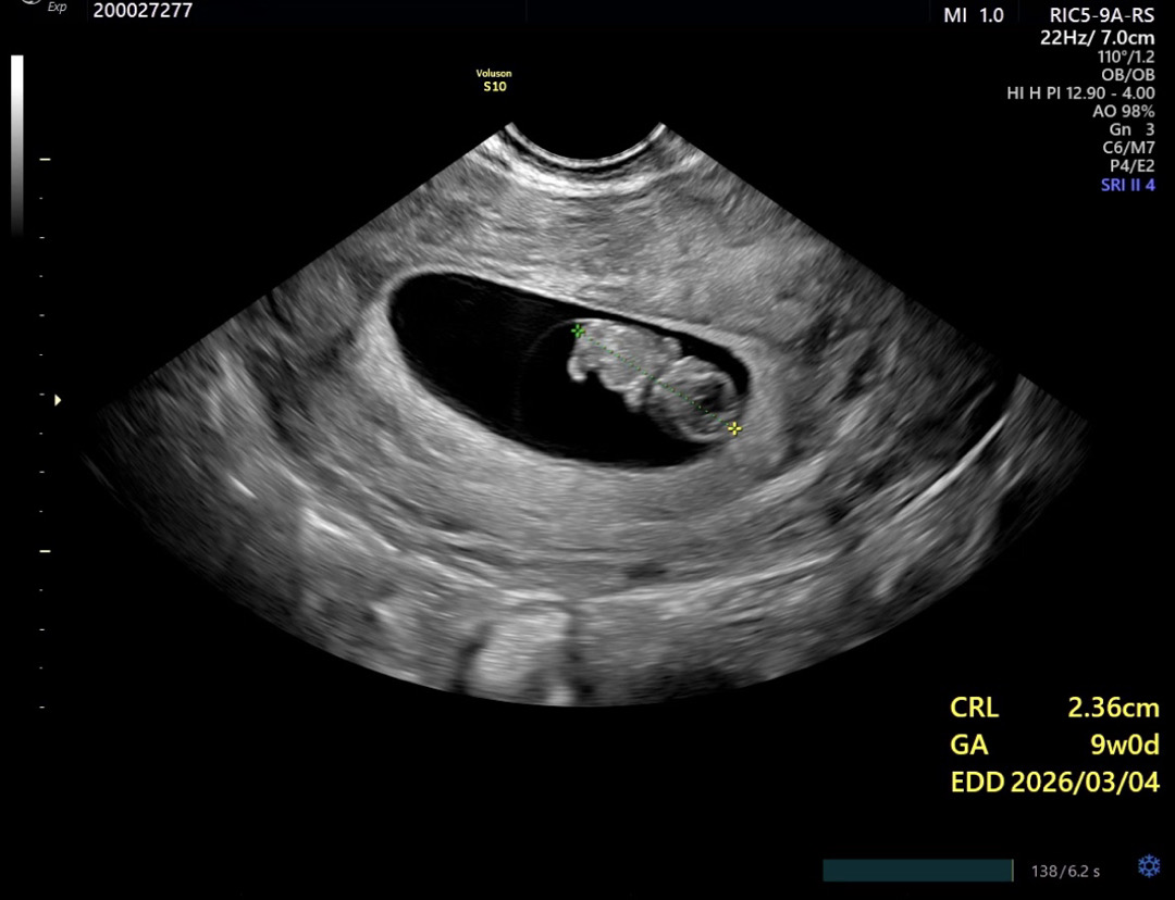
9주 젤리곰 보고왔어요 🥺

오늘 9주차 젤리곰 보고왔어요 ㅎㅎㅎ 오늘 회사에서 안좋은일이 있어서 펑펑 울었어서 걱정했는데 심장두 잘 뛰고있고 잘 크고있대요... 지금까지 입덧먹덧 한거 생각하니 더 뿌듯?하구...ㅋㅋㅋㅋ 그리고 의사쌤이 벌써 뭐가 달린거같기도 하다면서~ 아들을 원해서 별 타격은 없었지만용ㅎㅎㅎ 다들 얼른 젤리곰 보는 시기가 오시길 바랄게요!!!
댓글
5
와 너무 귀여워요~~~저랑 예정일이 같으시네유ㅎ 저는 낼 모레 가는데 저도 저런 모습 볼수 있겠죠? 호호

오!!! 바로 보실수있을거같아요!!! 젤리곰 보게된다면 바로 올려주세요><
저는 8주에 젤리곰 보러갔더니 약간 형태가 이상? 하더라구여ㅠㅠ 담주가는데 쓰니님처럼 귀여운 젤리곰 보고싶네요!!건강히 만출하세요!
우와 너무너무 귀여워요 😍 저두 얼른 젤리곰 보고파요!!
함께 많이 본 베동글
🔥 실시간 2026년 3월 베동 인기글

베이비빌리 앱 다운로드받고 다른 엄빠들이 작성한 다양한 고민&꿀팁글을 구경해보세요

