축하드려용~ 저도 토요일에 보러 가는데 떨리네용 ㅎㅎ
2026년 4월 베동
/ 자유주제
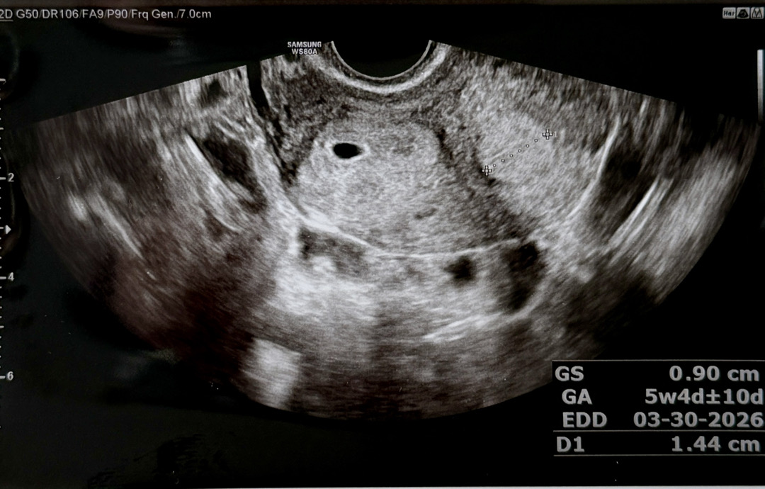
아침에 아기집 보고왔어요!

마지막 생리 시작일이 6.27이고 피검사는 7.25 오전에 했는데 수치가 131나왔거든요. 수치가 낮아서 오늘 아기집이 안 보일수도 있겠다고 하셨는데ㅠ 너무너무 선명하게 잘 보고 왔어요🥹 0.9cm...넘 작죠ㅋㅋ 오늘을 5주 0일로 보면 된다구 하시네용..! 게다거 저는 쌍각자궁이라... 혹시라두 자궁각에 착상되었을까봐 노심초사했는데 다행히 그러진 않아보인다구 하셔서 한시름 놨어요ㅠ 아직 난황은 안 보이구 2주뒤에 오라고 얘기해주셨네요. 그때 산모수첩이랑 마미톡 바코드 받을 수 있나봐요. 출산 예정일은 4.5 받았구 임신확인증 발급받아서 부랴부랴 보건소 가서 뱃지도 받고 선물세트도 받아왔습니당ㅎㅎ 다음주부터는 바로 단축근무 할 수 있게 품의 올리려구요!
댓글
43
우와 저희도 예정일 4월5일이에요!!축하합니다!!!
축하드려요~~ 해외라 아직 병원은 바로 못가고 대기중이지만 저랑 예정일이 같으셔요😍

탈퇴한 유저
엄청 축하드려요! 저도 담주에 가는데 볼수있음 좋겠네요 ㅎㅎ
축하드려요>_< 저도 예정일 4.5 받았습니다!! 저두 토요일에 아기집만 보고왔네요~~
2026년 4월 베동 베동 전체글
함께 많이 본 베동글

베이비빌리 앱 다운로드받고 다른 엄빠들이 작성한 다양한 고민&꿀팁글을 구경해보세요


