안녕하세요 엄빠님! 베이비빌리입니다. 각도법이 궁금하신 엄빠님께만 알려드려요🙋🏻♀️🙋🏻♂️ 각도법에 관심 있는 엄빠들이 모여있는 게시글에서 의견을 나누어보면 어떨까요?👼🏻 지금 바로 각도법으로 울 아기 성별을 추측해보세요😍 👉🏻 지금 바로 성별 질문 남기기 https://app.babybilly.app/8l9s1u
2026년 2월 베동
/ 자유주제
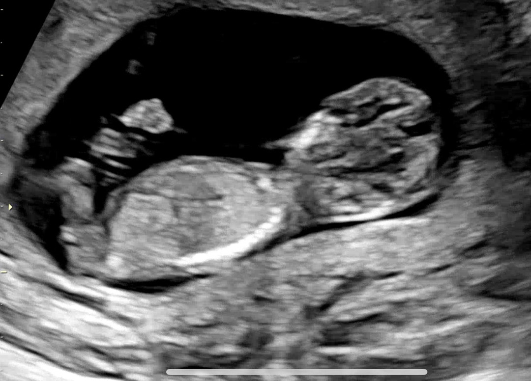
각도법 봐주실분 계실까용!!

11주 6일차 초음파인데 성별 너무 궁금해서요🤭 다음예약이 16주차라 기다리기 힘드네요!!
댓글
2
감사합니다아^_^👏
딸같아요
2026년 2월 베동 베동 전체글
함께 많이 본 베동글

베이비빌리 앱 다운로드받고 다른 엄빠들이 작성한 다양한 고민&꿀팁글을 구경해보세요


