조기교육이 너무 잘됐네용😳 초음파볼 때 엄빠한테 애교부릴줄도 알구☺️
2025년 12월 베동
/ 자유주제
귀여운순간 포착!

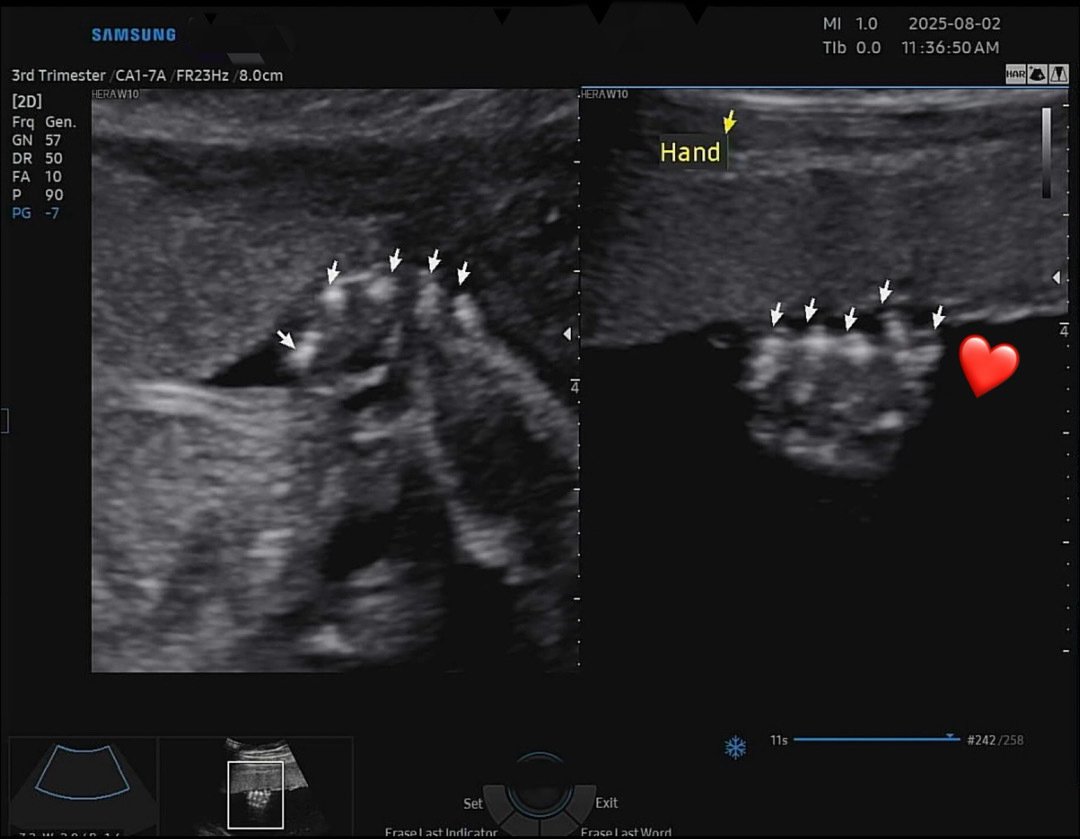
주말에 정밀초음파검사 보고왔는데 손가락 확인할때 애기가 귀엽게 손가락하트를 해주더라고요!!😆 주책이지만 너무 귀여운 순간이라 공유해봅니다🥰
댓글
1
함께 많이 본 베동글
🔥 실시간 2025년 12월 베동 인기글

베이비빌리 앱 다운로드받고 다른 엄빠들이 작성한 다양한 고민&꿀팁글을 구경해보세요

베이비빌리 앱에서
더 많은 베동글을 볼 수 있어요!

베이비빌리 앱에서 더 많은 베동글을 볼 수 있어요!
2025년 12월 베동
/ 자유주제
귀여운순간 포착!

주말에 정밀초음파검사 보고왔는데 손가락 확인할때 애기가 귀엽게 손가락하트를 해주더라고요!!😆 주책이지만 너무 귀여운 순간이라 공유해봅니다🥰
댓글
1
조기교육이 너무 잘됐네용😳 초음파볼 때 엄빠한테 애교부릴줄도 알구☺️
함께 많이 본 베동글
🔥 실시간 2025년 12월 베동 인기글

베이비빌리 앱 다운로드받고 다른 엄빠들이 작성한 다양한 고민&꿀팁글을 구경해보세요
주식회사 빌리지베이비
대표이사 이정윤
통신판매업신고번호
|
사업자등록번호 581-88-01277
|
서울특별시 영등포구 의사당대로 83, 오투타워 4층
|
|
Language
Copyright Baby Billy. All rights reserved.
주식회사 빌리지베이비
대표이사 이정윤
통신판매업신고번호
사업자등록번호 581-88-01277
서울특별시 영등포구 의사당대로 83, 오투타워 4층
|
|
Language
Copyright Baby Billy. All rights reserved.