안녕하세요 엄빠님! 베이비빌리입니다. 각도법이 궁금하신 엄빠님께만 알려드려요🙋🏻♀️🙋🏻♂️ 각도법에 관심 있는 엄빠들이 모여있는 게시글에서 의견을 나누어보면 어떨까요?👼🏻 또, 빌리AI로 각도법을 검사하는 미니 테스트 서비스도 오픈 되었다는 깜짝 소식이 두두등장! 지금 바로 각도법으로 울 아기 성별을 추측해보세요😍 👉🏻 지금 바로 성별 질문 남기기 https://app.babybilly.app/60e1ts ⭐빌리AI로 각도법 검사하는 미니 테스트 서비스 오픈! https://gender-test.babybilly.co/ 한 번 무료로 검사해보시고 결과가 잘 맞는지 빌리에게도 알려주시기로, 약-똑!😍
자유 베동
/ 자유주제
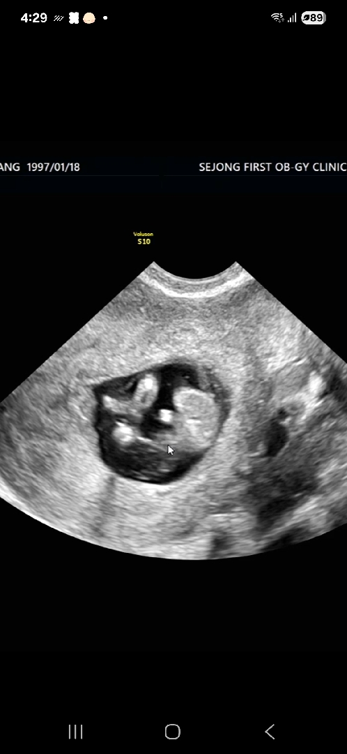
12주0일차 초음파..아들확정인가요??!

쌤은..다리사이를 잘보라며 뭐가있지 않냐는 말씀만 하셔서ㅜㅜㅋㅋ 아들인가요??!! 여쭤봐도 딱 보면 보일텐데 말씀만 하시네용.. 아들같기는 한데 아들확정인가효..?? 혹시 12주차에 이정도 촘파였는데 딸로 반전있으셨던분 있으실까요..??🥹🥹
댓글
3
12주차면 정확하지 않는데요 16주되야 정확해요

감사합니당🥹
아들같아요

크흑... 감사합니다ㅜㅜㅎㅎ
자유 베동 베동 전체글
함께 많이 본 베동글

베이비빌리 앱 다운로드받고 다른 엄빠들이 작성한 다양한 고민&꿀팁글을 구경해보세요


