오늘 제 남편도 그러던데 아직 생식기 발달중이래여ㅋ
2026년 3월 베동
/ 자유주제
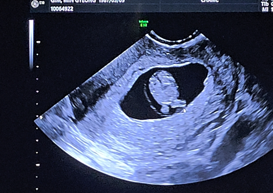
마미님들 9주차 초음파보다가 딸인것같아서

9주차면 생식기 생겼지 않나요? 다리사이에 암것도 없어서 딸인것같은데 어때보여요?
댓글
3
12주이상은되야.성볗알수잇어요!!

아!ㅋㅋ그래요?ㅋㅋ감사합니다^^
함께 많이 본 베동글
🔥 실시간 2026년 3월 베동 인기글

베이비빌리 앱 다운로드받고 다른 엄빠들이 작성한 다양한 고민&꿀팁글을 구경해보세요

베이비빌리 앱에서
더 많은 베동글을 볼 수 있어요!

베이비빌리 앱에서 더 많은 베동글을 볼 수 있어요!
2026년 3월 베동
/ 자유주제
마미님들 9주차 초음파보다가 딸인것같아서

9주차면 생식기 생겼지 않나요? 다리사이에 암것도 없어서 딸인것같은데 어때보여요?
댓글
3
오늘 제 남편도 그러던데 아직 생식기 발달중이래여ㅋ
12주이상은되야.성볗알수잇어요!!
아!ㅋㅋ그래요?ㅋㅋ감사합니다^^
함께 많이 본 베동글
🔥 실시간 2026년 3월 베동 인기글

베이비빌리 앱 다운로드받고 다른 엄빠들이 작성한 다양한 고민&꿀팁글을 구경해보세요
주식회사 빌리지베이비
대표이사 이정윤
통신판매업신고번호
|
사업자등록번호 581-88-01277
|
서울특별시 영등포구 의사당대로 83, 오투타워 4층
|
|
Language
Copyright Baby Billy. All rights reserved.
주식회사 빌리지베이비
대표이사 이정윤
통신판매업신고번호
사업자등록번호 581-88-01277
서울특별시 영등포구 의사당대로 83, 오투타워 4층
|
|
Language
Copyright Baby Billy. All rights reserved.