정말 축하드려요 ㅎㅎㅎㅎ 저랑 막생도 비슷한데 저는 배란이 늦어져서 어제 병원 갔더니 5주 3일차라고 말씀하시더라구요 ! 전 아기집만 보고왔는데, 아기랑 난황까지 다 보셨다니 ㅎㅎㅎ 축하드립니다 🥳
2026년 4월 베동
/ 자유주제
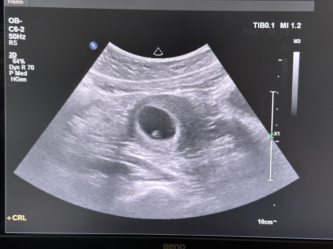
5주6일 아기집만 보였는데

안녕하세요! 임신 사실 알고 한 달 꾹꾹 참고 오늘 병원 다녀왔어요~! 막생 6/28이라 네이버주수로는 6주3일에 갔는데 애기크기로는 5주6일 이라고 하더라구요~ 처음에는 질초음파로 보는데 아기집만 보이고 아무것도 안 보여서 걱정 하다가 선생님이 배초음파로 바꾸시더니 아기랑 난황이 잘 보였어요~! 아직 작지만 심장소리까지 듣고 왔습니다! 아기집 크기랑 아기 크기나 모양도 다 정상이라고 하네요! 한 번 유산 하고 초음파로 처음 좋은 소식 들어서 정말 감사하네요!! 4월 베동 어머님둘 같이 화이팅 합시다!
댓글
1

감사합니다! 정말 몇일 사이에 아기가 보이냐 안 보이냐 큰 차이가 나는 거 같아요~! 아기보고 심장소리 들을때까지 힘내서 기다려봐여 :) 임신 축하드려요~!
2026년 4월 베동 베동 전체글
함께 많이 본 베동글

베이비빌리 앱 다운로드받고 다른 엄빠들이 작성한 다양한 고민&꿀팁글을 구경해보세요


