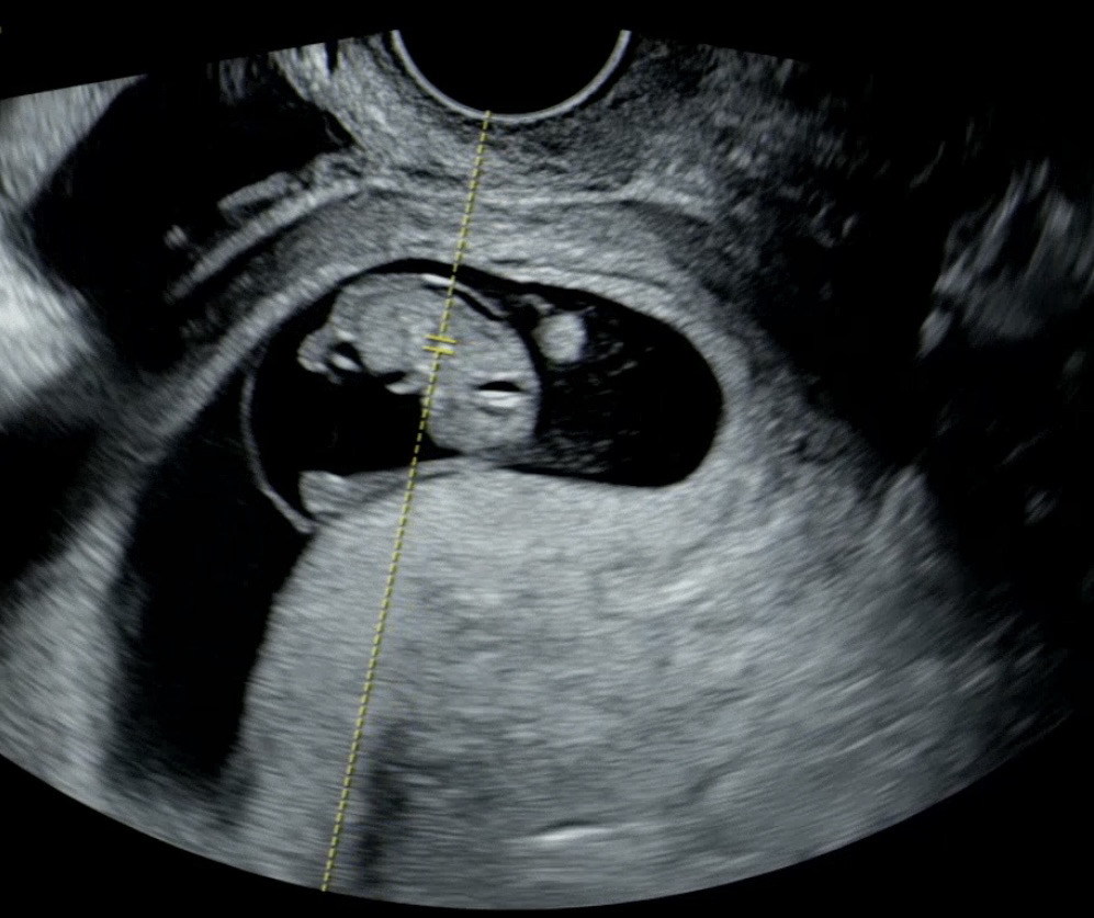
지금이 젤리곰 시기예요. 초음파 각도에 따라 조금 다르게 보일 수 있어요.
전체 베동
/ 자유주제
젤리곰보고싶어용 ㅎㅎ

오늘 8주 5일차 인데요 젤리곰 보고싶어서 다녀왔는데 팔다리도 조굼 길쭉길쭉 생겼더라구요~ 이미 늦은건지 아나면 언제쭘가면 볼수있을까용 ㅎㅎ 헤헤…
댓글
1
함께 많이 본 베동글
🔥 실시간 전체 베동 인기글

베이비빌리 앱 다운로드받고 다른 엄빠들이 작성한 다양한 고민&꿀팁글을 구경해보세요

베이비빌리 앱에서
더 많은 베동글을 볼 수 있어요!

베이비빌리 앱에서 더 많은 베동글을 볼 수 있어요!
전체 베동
/ 자유주제
젤리곰보고싶어용 ㅎㅎ

오늘 8주 5일차 인데요 젤리곰 보고싶어서 다녀왔는데 팔다리도 조굼 길쭉길쭉 생겼더라구요~ 이미 늦은건지 아나면 언제쭘가면 볼수있을까용 ㅎㅎ 헤헤…
댓글
1
지금이 젤리곰 시기예요. 초음파 각도에 따라 조금 다르게 보일 수 있어요.
함께 많이 본 베동글
🔥 실시간 전체 베동 인기글

베이비빌리 앱 다운로드받고 다른 엄빠들이 작성한 다양한 고민&꿀팁글을 구경해보세요
주식회사 빌리지베이비
대표이사 이정윤
통신판매업신고번호
|
사업자등록번호 581-88-01277
|
서울특별시 영등포구 의사당대로 83, 오투타워 4층
|
|
Language
Copyright Baby Billy. All rights reserved.
주식회사 빌리지베이비
대표이사 이정윤
통신판매업신고번호
사업자등록번호 581-88-01277
서울특별시 영등포구 의사당대로 83, 오투타워 4층
|
|
Language
Copyright Baby Billy. All rights reserved.