안녕하세요 엄빠님! 베이비빌리입니다. 각도법이 궁금하신 엄빠님께만 알려드려요🙋🏻♀️🙋🏻♂️ 각도법에 관심 있는 엄빠들이 모여있는 게시글에서 의견을 나누어보면 어떨까요?👼🏻 지금 바로 각도법으로 울 아기 성별을 추측해보세요😍 👉🏻 지금 바로 성별 질문 남기기 https://app.babybilly.app/8l9s1u
2026년 2월 베동
/ 자유주제
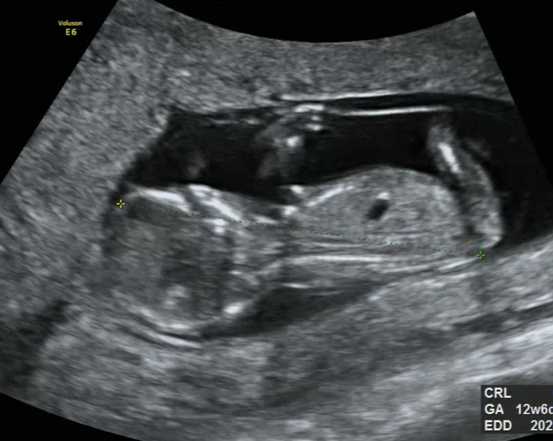
12주차 각도법!!! 입체 + 일반 초음파 올려보아요👍🏻

각도법 선배님들 ㅎㅎ 혹시 어떤 성별인지 감이 오실까요??? 아들이든 딸이든 다 좋아요>< 소중한 시간 내셔서 우리 하모 성별 봐주심에 감사합니다^^
댓글
5
2026년 2월 베동 베동 전체글
함께 많이 본 베동글

베이비빌리 앱 다운로드받고 다른 엄빠들이 작성한 다양한 고민&꿀팁글을 구경해보세요


