축하드려요♡♡♡
2026년 4월 베동
/ 자유주제
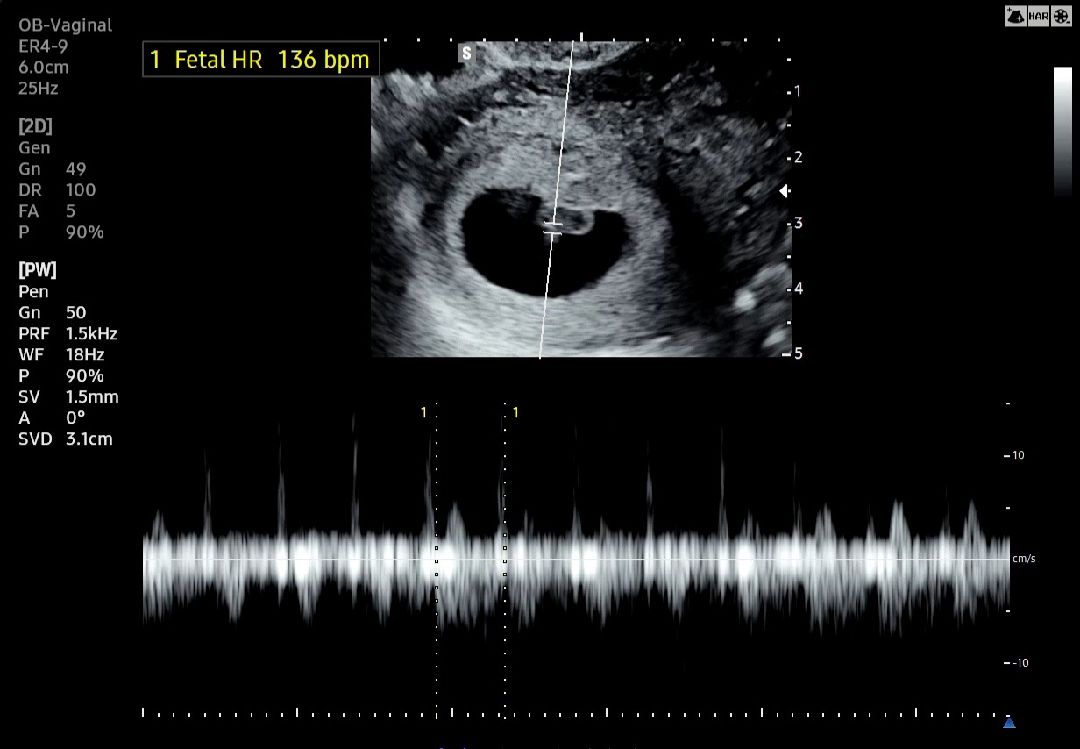
6주 6일차, 드디어 심장소리 듣고 왔어요 🫢❕️

지난 주 초음파에서 다이아몬드링에 아주 작은 빛만 반짝였는데, 일주일 사이에 아기는 0.7cm로 크고, 처음으로 심장소리도 들었어요! 136bpm으로 정상, 난황크기도 정상이라고 해서 안심되는 하루랍니다 🥹🙏🏻 직업 상 몸을 많이 쓰는 직업이라 피고임 걱정했는데, 다행히 주변에 피고임도 없고 깨끗하다고 해요! 건강하게만 자라다오 ~~ 👼🏻🩷💙
댓글
2
저도 내일 6주6일인데 심장소리 들으러가여 너무 설레네용!!
2026년 4월 베동 베동 전체글
함께 많이 본 베동글

베이비빌리 앱 다운로드받고 다른 엄빠들이 작성한 다양한 고민&꿀팁글을 구경해보세요


