2026년 2월 베동
/ 자유주제
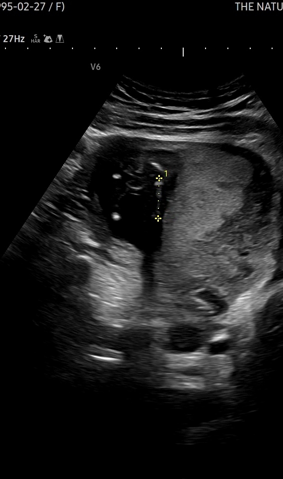
15주 3일인데 아들일까요?!

다른 아들 초음파 보면 대놓고 꼬추!!!!!! 가 있던데 이렇게 자꾸 애매하게 보여줘서ㅠㅠ 저 쩜 같은게 꼬추인지 뭔지... 모르겠어요ㅠㅠ 다리사이 초음파 인데 마미들 눈에는 어때보이나요..?
댓글
0
아직 남겨진 댓글이 없어요.
2026년 2월 베동 베동 전체글
함께 많이 본 베동글

베이비빌리 앱 다운로드받고 다른 엄빠들이 작성한 다양한 고민&꿀팁글을 구경해보세요

베이비빌리 앱에서
더 많은 베동글을 볼 수 있어요!

베이비빌리 앱에서 더 많은 베동글을 볼 수 있어요!
2026년 2월 베동
/ 자유주제

다른 아들 초음파 보면 대놓고 꼬추!!!!!! 가 있던데 이렇게 자꾸 애매하게 보여줘서ㅠㅠ 저 쩜 같은게 꼬추인지 뭔지... 모르겠어요ㅠㅠ 다리사이 초음파 인데 마미들 눈에는 어때보이나요..?
댓글
0
아직 남겨진 댓글이 없어요.
2026년 2월 베동 베동 전체글
함께 많이 본 베동글

베이비빌리 앱 다운로드받고 다른 엄빠들이 작성한 다양한 고민&꿀팁글을 구경해보세요
주식회사 빌리지베이비
대표이사 이정윤
통신판매업신고번호
|
사업자등록번호 581-88-01277
|
서울특별시 영등포구 의사당대로 83, 오투타워 4층
|
|
Language
Copyright Baby Billy. All rights reserved.
주식회사 빌리지베이비
대표이사 이정윤
통신판매업신고번호
사업자등록번호 581-88-01277
서울특별시 영등포구 의사당대로 83, 오투타워 4층
|
|
Language
Copyright Baby Billy. All rights reserved.