추가사진이요!
2026년 3월 베동
/ 성별질문
다리 사이 🌶️ 가능성..?

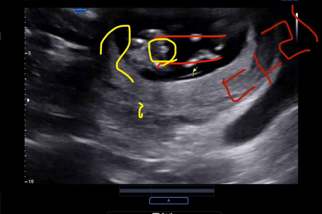
12주 3일째에 초음파 보고 왔는데 등 돌리고 있어서 각도법 유추해볼 자세도 못보고ㅠㅠ 척추뼈만 열심히 보고 왔네여 초음파 영상 찰나에 다리사이가 찍혔는데 요거 🌶️로 클 가능성 있을까요……..?
BETA
우리 아기 성별이 궁금하다면?
초음파 사진을 올리면 AI가 무료로 예측해줘요
댓글
1
2026년 3월 베동 베동 전체글
함께 많이 본 베동글

베이비빌리 앱 다운로드받고 다른 엄빠들이 작성한 다양한 고민&꿀팁글을 구경해보세요


