엄청 큰지는 또 모르겠어요 괜찮을거라 믿어요!
2026년 5월 베동
/ 자유주제
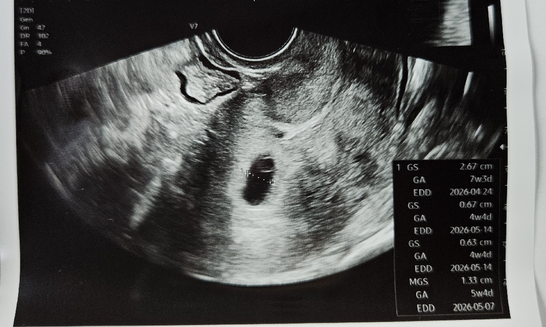
난황이 크대요

병원에 가서 초음파 보고왔어요 5주 4일차 아기집과 난황이 보였는데 난황크기가 크다고 다음주에 다시 봐야할것 같다고 하시네요 이런경우 유산확률이 좀 높은가봐요 지금 입덧도 너무 심한데 힘들긴 힘들거든요 하지만 잘 참아볼 수 있으니까 ㅠㅠ 제발 아니었으면 좋겠어요!!
댓글
3
저도 난황이 엄청 큰것 까지는 모르겠눈데 ㅠㅠ 혹시 아기집 사이즈에 비해서 크다고 하신건가요..??
난황크기 큰거 맞나요..?
2026년 5월 베동 베동 전체글
함께 많이 본 베동글

베이비빌리 앱 다운로드받고 다른 엄빠들이 작성한 다양한 고민&꿀팁글을 구경해보세요


