저랑 똑같으시네요.. 엉덩이 사이로 🌶️🫶🏻
2026년 3월 베동
/ 성별질문
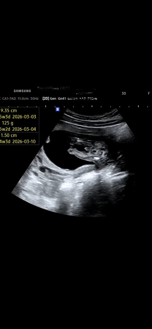
15주차 성별

15주차에 다리사이 그것이 보이는데,. 성별 바뀔일은 없겠죠..?
BETA
우리 아기 성별이 궁금하다면?
초음파 사진을 올리면 AI가 무료로 예측해줘요
댓글
2

ㅎㅎ너무 확실한 그것...ㅎㅎ
남자애기입니다 ㅎㅎㅎ

역시 그렇군요ㅎㅎ
2026년 3월 베동 베동 전체글
함께 많이 본 베동글

베이비빌리 앱 다운로드받고 다른 엄빠들이 작성한 다양한 고민&꿀팁글을 구경해보세요


