5주 6일차에 심소 들으셨으면 잘 크고 있는거 같아용 저는 5주 4일차에 아가가 작아서 사이즈도 못본다고 하셨거든용
2026년 5월 베동
/ 자유주제
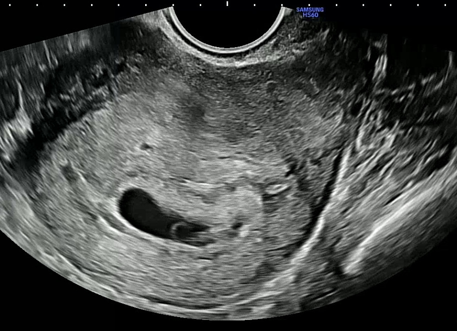
5주6일

날짜로는 6주인데 쪼금 늦배란인것같다고 하시던데 심소를 듣긴했는데 너무 작게 들리고 난황도 엄청 희미하게 보여서 걱정이에요 저처럼 희미하게 보이는 난황 보신분 있으시나요 애기보이는 각도에서는 난황 보이지도 않아요...
댓글
2

그런거 맞겠죠? ㅜㅜ 걱정에 괜히 초음파 영상만 계속 돌려보고있어요 ㅜㅜ
저도 막생 기준이면 7주가 넘는데 어제(9.15) 초음파 봤을 때 5주 6일 크기라고 하더라구요. 심장소리도 작구.. 근데 착상이 늦어져서 그런것 같다구 다음주에 다시 보자고 하네요. 너무 걱정하지 말아요 우리!!!

저도 막생기준은 7주넘어요 ㅜㅜ 저랑 진짜 비슷하시네요 ㅜ 이전에 고사난자로 회복기간 지나고 다시 임신한거라 이번은 마음 안졸이고 싶었는데 너무 걱정되요 ㅠㅠ
2026년 5월 베동 베동 전체글
함께 많이 본 베동글

베이비빌리 앱 다운로드받고 다른 엄빠들이 작성한 다양한 고민&꿀팁글을 구경해보세요


