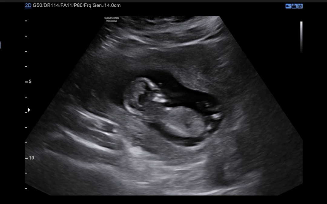
각도가 제대로 안나왔어요..ㅠ제글 참고하시고 다른 사진 올려주세요 봐드릴게요 ㅎㅎ
2026년 3월 베동
/ 자유주제
성별 궁금해요 각도법 고수님들 알려주세용

12주3일차입니다 잘보이실까용 ㅠㅠ
댓글
3

이건용?!

저기 가운데 처럼 자세하게 나와야해요!
함께 많이 본 베동글
🔥 실시간 2026년 3월 베동 인기글

베이비빌리 앱 다운로드받고 다른 엄빠들이 작성한 다양한 고민&꿀팁글을 구경해보세요

베이비빌리 앱에서
더 많은 베동글을 볼 수 있어요!

베이비빌리 앱에서 더 많은 베동글을 볼 수 있어요!
2026년 3월 베동
/ 자유주제
성별 궁금해요 각도법 고수님들 알려주세용

12주3일차입니다 잘보이실까용 ㅠㅠ
댓글
3
각도가 제대로 안나왔어요..ㅠ제글 참고하시고 다른 사진 올려주세요 봐드릴게요 ㅎㅎ
이건용?!
저기 가운데 처럼 자세하게 나와야해요!
함께 많이 본 베동글
🔥 실시간 2026년 3월 베동 인기글

베이비빌리 앱 다운로드받고 다른 엄빠들이 작성한 다양한 고민&꿀팁글을 구경해보세요
주식회사 빌리지베이비
대표이사 이정윤
통신판매업신고번호
|
사업자등록번호 581-88-01277
|
서울특별시 영등포구 의사당대로 83, 오투타워 4층
|
|
Language
Copyright Baby Billy. All rights reserved.
주식회사 빌리지베이비
대표이사 이정윤
통신판매업신고번호
사업자등록번호 581-88-01277
서울특별시 영등포구 의사당대로 83, 오투타워 4층
|
|
Language
Copyright Baby Billy. All rights reserved.