1차기형아검사 피검사로하는거라 결과나오는데 시간걸리는걸로 알고있는데 피검사는 따로안하셨나요??? 1차 2차 합쳐서 알려주는곳도있고 그러더라구요! 저는 1차기형아검사하고 일주일뒤에 정상이라고들었어요!
2026년 3월 베동
/ 자유주제
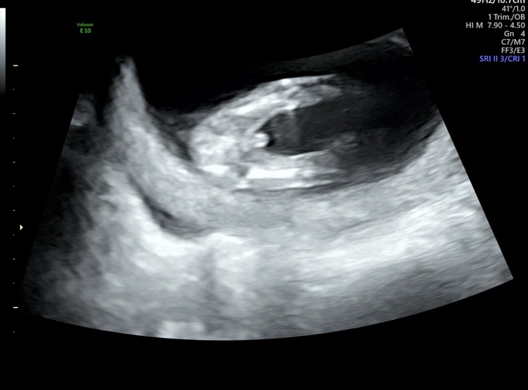
12주4일 니프티+입체하고왔어요 🌶️존재감..!

존재감이 너무 뚜렷하다고 하셔서 아들맘인것같은데! 성별반전이 있을지 니프티 결과 궁금해지네요 😀 다리사이에 보석반지같은게 따악 💎 1차 기형아검사 정상이라 이제 마음편하게 안정기에 진입했습니다🥰
댓글
3

1차 기형아검사 피검사대신 니프티로 하고왔고, 니프티 검사는 아직 안나왔어요! 그 검사결과로는 저도 일주일 기다려야하네요 🥰

1차 기형아검사 피검사대신 니프티로 하고왔고, 니프티 검사는 아직 안나왔어요! 그 검사결과로는 저도 일주일 기다려야하네요 🥰

아하! 니프티하셨군요!! 좋은결과있을거에요~♡
1차기영아검사결과지 바로나오나요? 2차하고 같이 알려준다고하더라구여

1차는 목투명대 확인하고 기타 다른 손 발 코뼈 확인하는거라 초음파보면서 바로 확인을 해주실텐데요..!!

아...피도뽑앗어가지구...
2026년 3월 베동 베동 전체글
함께 많이 본 베동글

베이비빌리 앱 다운로드받고 다른 엄빠들이 작성한 다양한 고민&꿀팁글을 구경해보세요


