5일배아 6주0일에 심장소리 너무 일러요 ㅎㅎ 그렇게 기대하시면 나중에 불안해집니다 6주 난황 7주 심소에요!
2026년 5월 베동
/ 자유주제
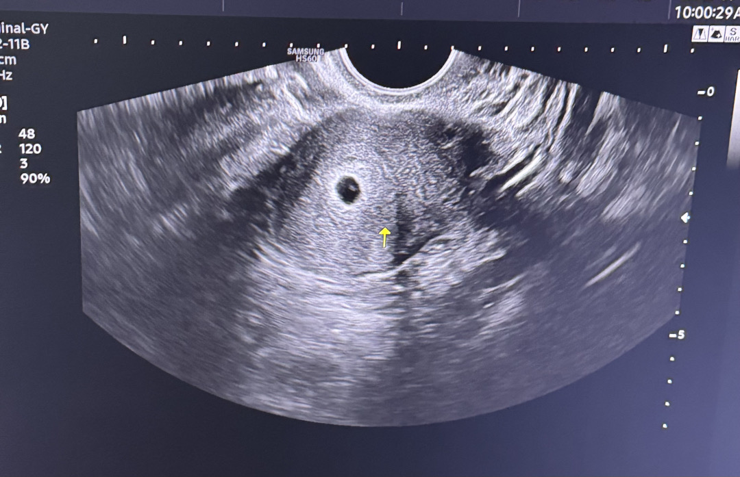
5주0일차 아기집+난황 봤는데 모양 어떤가요..?

5주0일차(5일배아 이식17일차) 아기집이랑 난황 봤어요! 모양 어떤가요ㅠㅠ? 다음주 월요일 6주0일차에 아기, 심장소리도 들을수있을까용..?!
댓글
9

네!!! 그럼 난황이 좀더 잘 보일 시기라고 생각해야겠오요!! 감사합니다 🩶

네!!! 그럼 난황이 좀더 잘 보일 시기라고 생각해야겠오요!! 감사합니다 🩶
저도 22일 5주0일차 초음파 봤는데 비슷해요 아기집 9mm에 난황 작게 봤어요 ㅎㅎ

오앗 ㅠㅠ저는 설명을 안해주셔가지구..ㅠ 궁금하더라구요..다음주이 병원 가시나요?

네! 저는 인공1차 했어요. 담주 월에 병원가요!

오옷! 저랑 같네요>_< 혹시 그때 심장소리 들으러오라하셨나요? 저는 그냥 다음주에오세요! 가 끝이었어요ㅜ 그때 뭘 보는건지..

오옷! 저랑 같네요>_< 혹시 그때 심장소리 들으러오라하셨나요? 저는 그냥 다음주에오세요! 가 끝이었어요ㅜ 그때 뭘 보는건지..

오옷! 저랑 같네요>_< 혹시 그때 심장소리 들으러오라하셨나요? 저는 그냥 다음주에오세요! 가 끝이었어요ㅜ 그때 뭘 보는건지..

저도 똑같이 그냥 담주 진료 잡혔어요 ㅎㅎㅎ 심장소리는 좀 이르지 않을까 싶은데 마음 편히 먹고 계세요!

네! 감사합나다!!!
2026년 5월 베동 베동 전체글
함께 많이 본 베동글

베이비빌리 앱 다운로드받고 다른 엄빠들이 작성한 다양한 고민&꿀팁글을 구경해보세요


