2026년 3월 베동
/ 자유주제
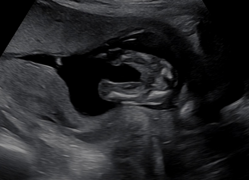
성별 궁금해요

오늘 딱 15주 되는 날인데 다리를 베베 꼬다가 겨우 보여주더라구요 의사선생님이 딸인거같다고 하셨는데 혹시나 나중에 갔는데 고추가 뿅 있는건 아니겠죠..?ㅎㅎㅎ
댓글
0
아직 남겨진 댓글이 없어요.
함께 많이 본 베동글
🔥 실시간 2026년 3월 베동 인기글

베이비빌리 앱 다운로드받고 다른 엄빠들이 작성한 다양한 고민&꿀팁글을 구경해보세요

베이비빌리 앱에서
더 많은 베동글을 볼 수 있어요!

베이비빌리 앱에서 더 많은 베동글을 볼 수 있어요!
2026년 3월 베동
/ 자유주제
성별 궁금해요

오늘 딱 15주 되는 날인데 다리를 베베 꼬다가 겨우 보여주더라구요 의사선생님이 딸인거같다고 하셨는데 혹시나 나중에 갔는데 고추가 뿅 있는건 아니겠죠..?ㅎㅎㅎ
댓글
0
아직 남겨진 댓글이 없어요.
함께 많이 본 베동글
🔥 실시간 2026년 3월 베동 인기글

베이비빌리 앱 다운로드받고 다른 엄빠들이 작성한 다양한 고민&꿀팁글을 구경해보세요
주식회사 빌리지베이비
대표이사 이정윤
통신판매업신고번호
|
사업자등록번호 581-88-01277
|
서울특별시 영등포구 의사당대로 83, 오투타워 4층
|
|
Language
Copyright Baby Billy. All rights reserved.
주식회사 빌리지베이비
대표이사 이정윤
통신판매업신고번호
사업자등록번호 581-88-01277
서울특별시 영등포구 의사당대로 83, 오투타워 4층
|
|
Language
Copyright Baby Billy. All rights reserved.