기계가 오래되서 그럴 거에요 저도 그래서 분만병원 신식 초음파 있는 곳으로 갔어요
2026년 4월 베동
/ 자유주제
9주 초음파가 너무 흐릿해요

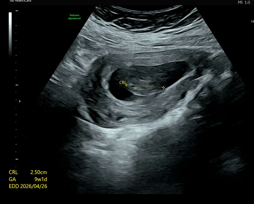
지금 다니는 병원에서 찍은 초음파가 너무 흐릿해요 이 주변에선 꽤 큰 분만 병원인데도요 2.5cm고 이 주수면 다른 분들처럼 젤리곰이 보여야 할 거 같은데 너무 흐릿하죠? 선생님은 보시면서 여기가 머리고 여기가 몸이예요 하는데 음? 뭘 보고 그러시는건지 제 눈엔 하나도 안 보이더라구요 추석연휴땜에 이제 3주 뒤에나 가는데 다른 병원에 가서 한번 초음파만 볼까도 싶네요 주변에 있는 아무 산부인과 가도 초음파 봐줄까요?
댓글
1
2026년 4월 베동 베동 전체글
함께 많이 본 베동글

베이비빌리 앱 다운로드받고 다른 엄빠들이 작성한 다양한 고민&꿀팁글을 구경해보세요


