저두 6주6일 번데기였어요 ㅋ.ㅋ 2주뒤 기대중입니닷
2026년 5월 베동
/ 자유주제
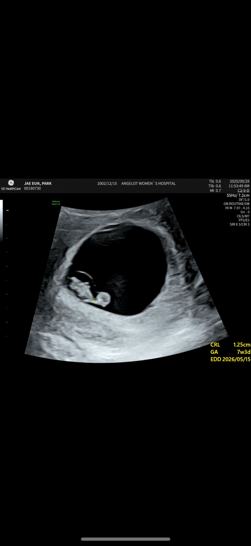
7주차 번데기

젤리곰 기대했는데 번데기가 있어요 ㅋㅋㅋㅋㅋㅋ 9주차에가면 젤리곰은 이미 지나있겠죠??
댓글
3
8주~9주가 젤리곰 볼수있는 시기로 알고있어용
저도 오징어가 있었어요!ㅋㅋㅋ6주 6일 사진이에용
함께 많이 본 베동글
🔥 실시간 2026년 5월 베동 인기글

베이비빌리 앱 다운로드받고 다른 엄빠들이 작성한 다양한 고민&꿀팁글을 구경해보세요

베이비빌리 앱에서
더 많은 베동글을 볼 수 있어요!

베이비빌리 앱에서 더 많은 베동글을 볼 수 있어요!
2026년 5월 베동
/ 자유주제
7주차 번데기

젤리곰 기대했는데 번데기가 있어요 ㅋㅋㅋㅋㅋㅋ 9주차에가면 젤리곰은 이미 지나있겠죠??
댓글
3
저두 6주6일 번데기였어요 ㅋ.ㅋ 2주뒤 기대중입니닷
8주~9주가 젤리곰 볼수있는 시기로 알고있어용
저도 오징어가 있었어요!ㅋㅋㅋ6주 6일 사진이에용
함께 많이 본 베동글
🔥 실시간 2026년 5월 베동 인기글

베이비빌리 앱 다운로드받고 다른 엄빠들이 작성한 다양한 고민&꿀팁글을 구경해보세요
주식회사 빌리지베이비
대표이사 이정윤
통신판매업신고번호
|
사업자등록번호 581-88-01277
|
서울특별시 영등포구 의사당대로 83, 오투타워 4층
|
|
Language
Copyright Baby Billy. All rights reserved.
주식회사 빌리지베이비
대표이사 이정윤
통신판매업신고번호
사업자등록번호 581-88-01277
서울특별시 영등포구 의사당대로 83, 오투타워 4층
|
|
Language
Copyright Baby Billy. All rights reserved.