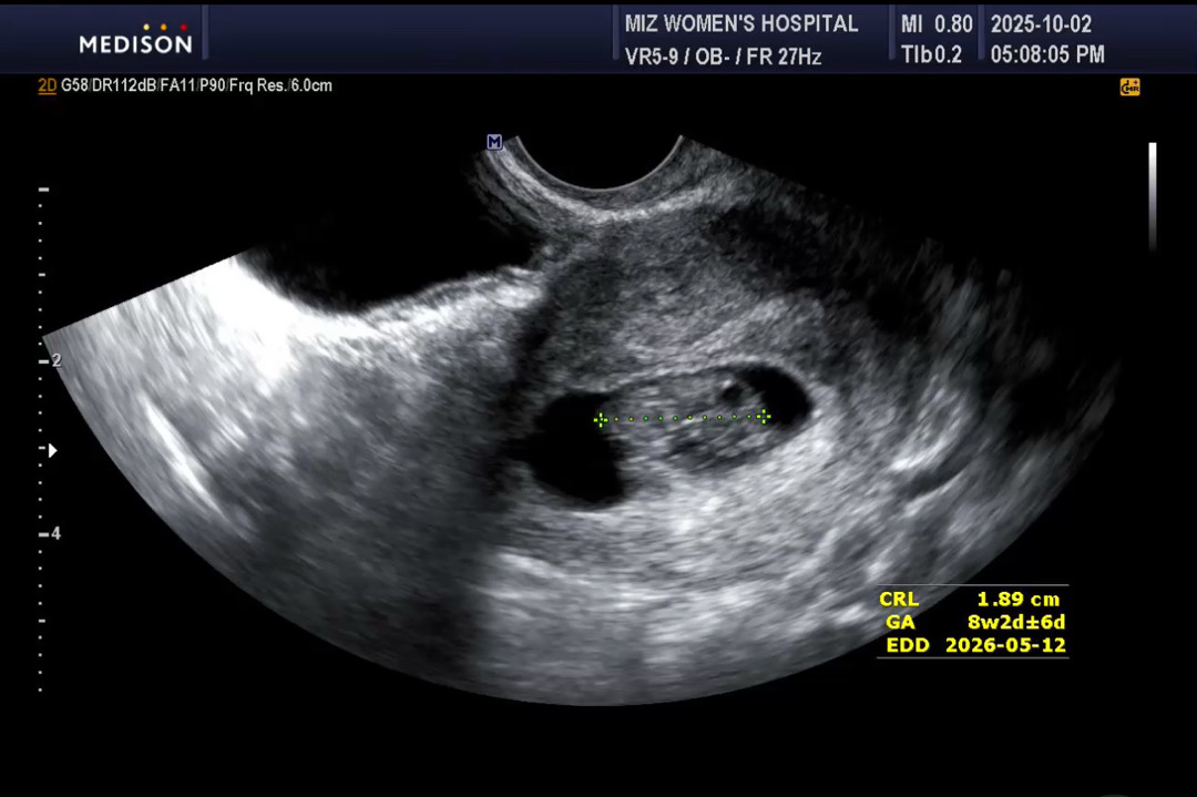
저도 제가볼때 아가가 낑겨보여서 아기집이 작나요 물어봤더니 태아가 보이면 아기집보다 태아 크기로 본다고 걱정말라고 그러시더라구요
2026년 5월 베동
/ 자유주제
오늘 초음파 보고 왔는데 아기집이 작대요ㅠ

아이 크기는 주수랑 비슷하게 가고 있고 심장박동도 160정도로 아주 우렁찹니다..! 오늘 원장님께서 초음파 보시고는 자궁이 평균보다 좀 작은 편이고, 아기집도 많이 작다하셔서 조금 불안해요 ㅠㅠ 아기집 같은경우 갑자기 쑥 커지는 경우도 있다고 하시던데 저는 초반부터 현재 8주까지 계속 작다는 소리 들었어요... 혹시 저와 비슷한 분 계실까요...?🥺
댓글
1
2026년 5월 베동 베동 전체글
함께 많이 본 베동글

베이비빌리 앱 다운로드받고 다른 엄빠들이 작성한 다양한 고민&꿀팁글을 구경해보세요


