저희 아기 초음파랑 비슷해요!! ㅋㅋㅋㅋ 저도 15주에 갔는데 의사선생님이 거의 딸 확정인것같다고 하셨습니다,,
2026년 3월 베동
/ 성별질문
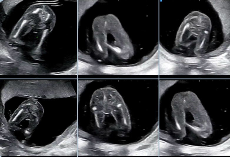
15주차 성별질문

안녕하세요~ 오늘 처음 성별 확인라는 날이어서 설레는 마음으로 병원에 다녀왔어요 사진은 15주차 4일이에요! 선생님도 애매하다고 확정은 안해주셔서 다음에 올때까지 더 지켜보자고 하시네요!? 일단 아들같기도하고 딸이 부어있는것 같다고도 하셨어요 “일단 아들로하죠!” 라고 끝났어요 엄마들 생각도 궁금해요~ 자유롭게 의견 부탁드려요~
BETA
우리 아기 성별이 궁금하다면?
초음파 사진을 올리면 AI가 무료로 예측해줘요
댓글
1
2026년 3월 베동 베동 전체글
함께 많이 본 베동글

베이비빌리 앱 다운로드받고 다른 엄빠들이 작성한 다양한 고민&꿀팁글을 구경해보세요


