2026년 4월 베동
/ 성별질문
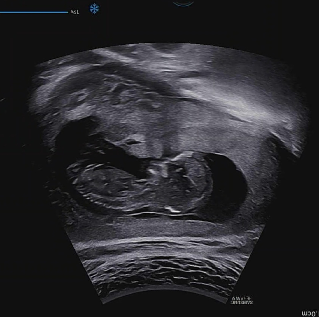
12주4일 각도법 투표부탁드려요 🙏

12주 4일 초음파 보고왔는데 각도법 한번만 봐주세요 ~!
BETA
우리 아기 성별이 궁금하다면?
초음파 사진을 올리면 AI가 무료로 예측해줘요
댓글
0
아직 남겨진 댓글이 없어요.
2026년 4월 베동 베동 전체글
함께 많이 본 베동글

베이비빌리 앱 다운로드받고 다른 엄빠들이 작성한 다양한 고민&꿀팁글을 구경해보세요

베이비빌리 앱에서
더 많은 베동글을 볼 수 있어요!

베이비빌리 앱에서 더 많은 베동글을 볼 수 있어요!
2026년 4월 베동
/ 성별질문

12주 4일 초음파 보고왔는데 각도법 한번만 봐주세요 ~!
BETA
우리 아기 성별이 궁금하다면?
초음파 사진을 올리면 AI가 무료로 예측해줘요
댓글
0
아직 남겨진 댓글이 없어요.
2026년 4월 베동 베동 전체글
함께 많이 본 베동글

베이비빌리 앱 다운로드받고 다른 엄빠들이 작성한 다양한 고민&꿀팁글을 구경해보세요
주식회사 빌리지베이비
대표이사 이정윤
통신판매업신고번호
|
사업자등록번호 581-88-01277
|
서울특별시 영등포구 의사당대로 83, 오투타워 4층
|
|
Language
Copyright Baby Billy. All rights reserved.
주식회사 빌리지베이비
대표이사 이정윤
통신판매업신고번호
사업자등록번호 581-88-01277
서울특별시 영등포구 의사당대로 83, 오투타워 4층
|
|
Language
Copyright Baby Billy. All rights reserved.