2026년 4월 베동
/ 성별질문
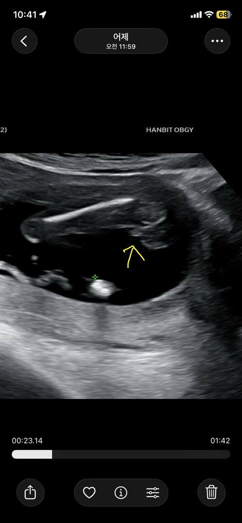
17주 초음파 아들?딸? 봐주세요!

선생님은 딸같다고 하셨는데 집와서 동영상 다시돌려보니 튀어나온게 있더라구요!? 탯줄일까욮?
BETA
우리 아기 성별이 궁금하다면?
초음파 사진을 올리면 AI가 무료로 예측해줘요
댓글
1

아들은 .^. 요런모양으로 발끝향해잇어욤 보여주시능 사진은 꼭지점이 엉덩이쪽으로보여서 딸이라고 하신거같아여
2026년 4월 베동 베동 전체글
함께 많이 본 베동글

베이비빌리 앱 다운로드받고 다른 엄빠들이 작성한 다양한 고민&꿀팁글을 구경해보세요


