2026년 5월 베동
/ 성별질문
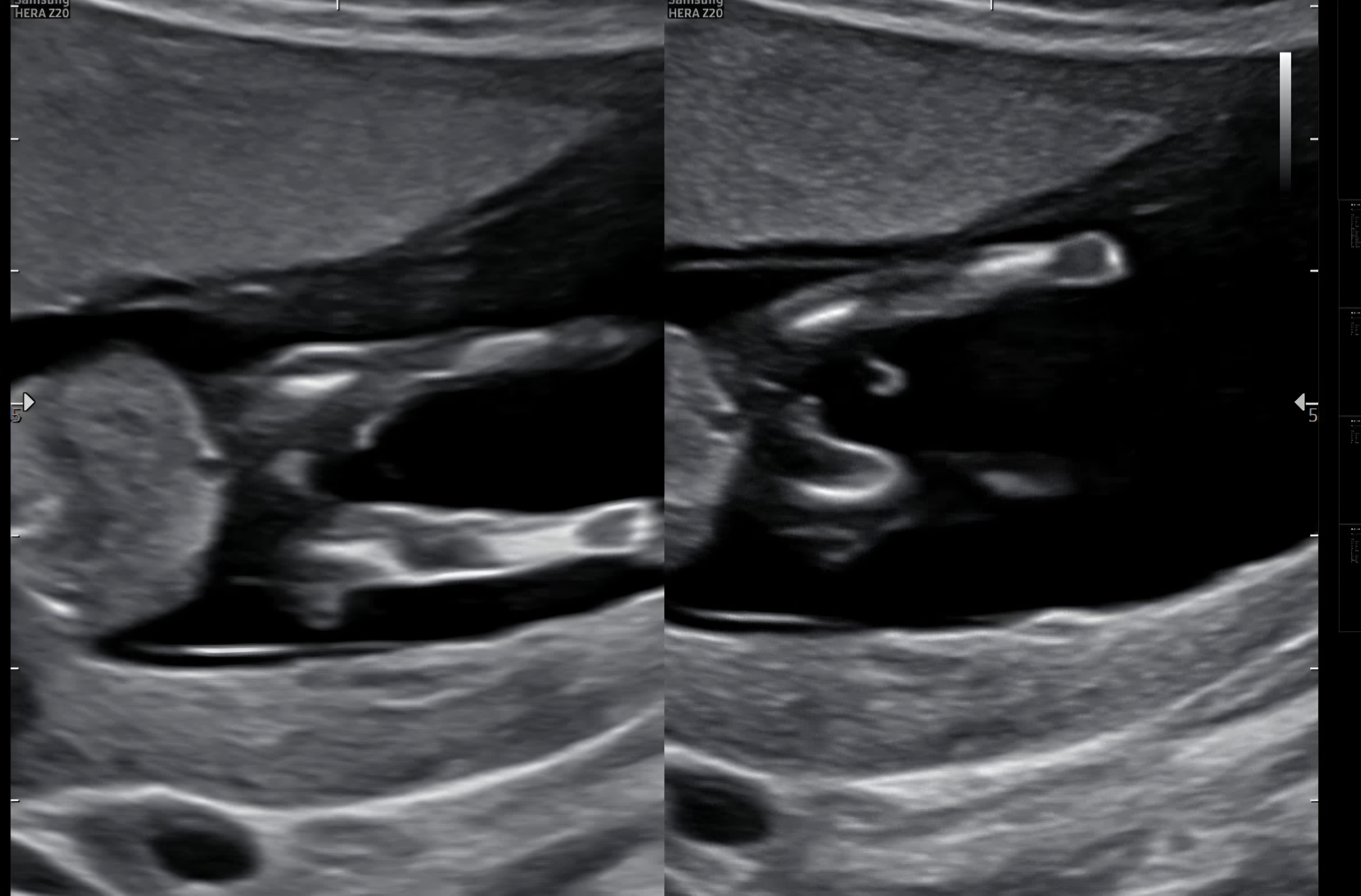
12주 6일 다리사이 성별봐주세요!

제 눈에는 아직 안보이는 것 같은데 좀 더 기다려야할까요? 의사쌤이 우측 사진 다리사이에서 살짝 떨어진 하얀색?은 탯줄이래요.. 성별 아직 아예 언급이 없으시니요ㅠ
BETA
우리 아기 성별이 궁금하다면?
초음파 사진을 올리면 AI가 무료로 예측해줘요
댓글
0
아직 남겨진 댓글이 없어요.
2026년 5월 베동 베동 전체글
함께 많이 본 베동글

베이비빌리 앱 다운로드받고 다른 엄빠들이 작성한 다양한 고민&꿀팁글을 구경해보세요


