완전 아들이용ㅋㅋㅋㅋ
2026년 3월 베동
/ 임신고민
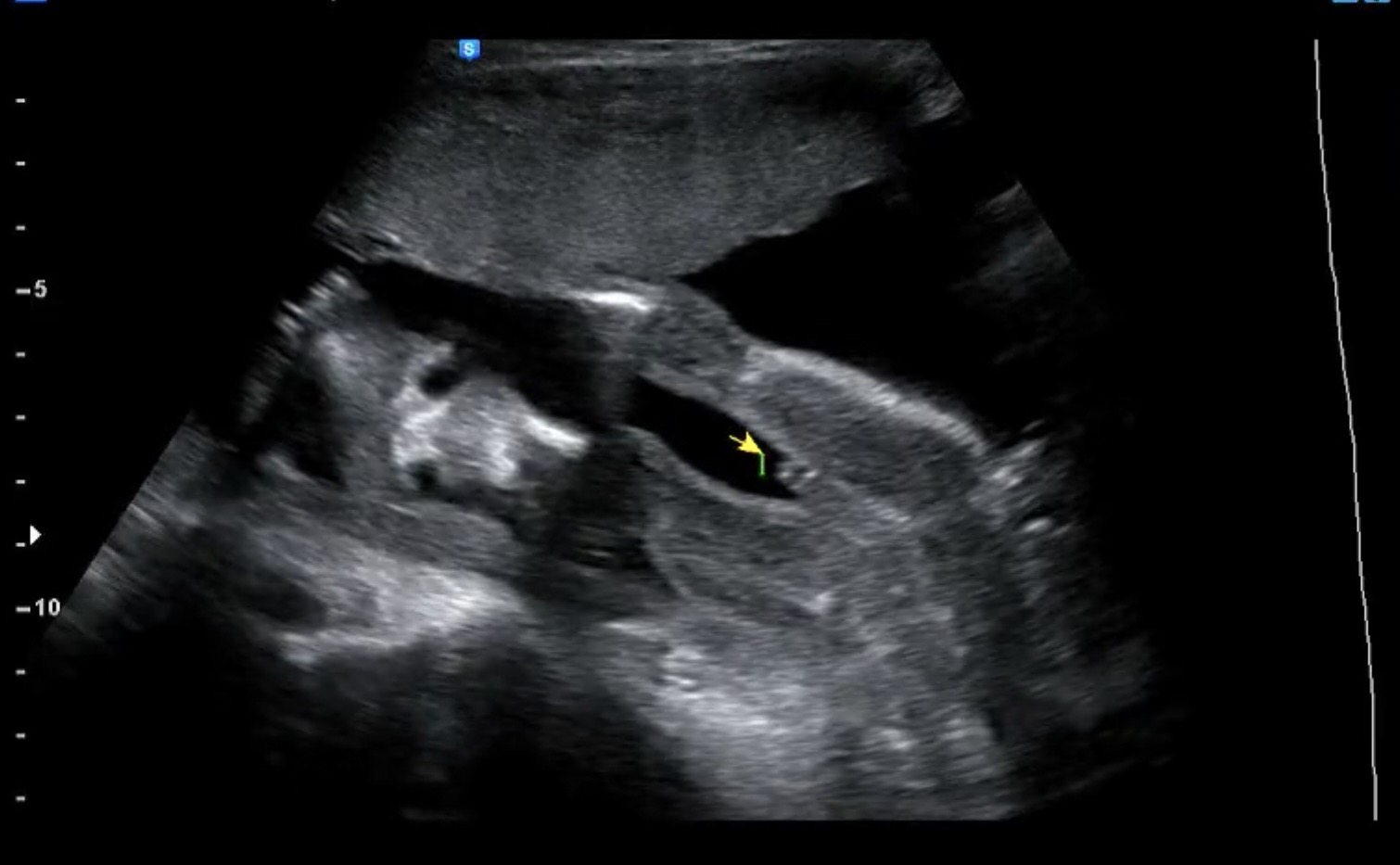
20주 초음파 성별 같이 봐주세요!

20주 5일차에요! 오늘 병원 갔는데, 아들인 것 같다고 하시는데~ 확실하게 말씀해주시진 않아서요! 이정도면 아들 맞겠죠? ㅎㅎ
댓글
3
아들 맞는거 같아요! 아들맘 환영해용🩷🥰
아들인거같아용ㅎㅎ
함께 많이 본 베동글
🔥 실시간 2026년 3월 베동 인기글

베이비빌리 앱 다운로드받고 다른 엄빠들이 작성한 다양한 고민&꿀팁글을 구경해보세요

베이비빌리 앱에서
더 많은 베동글을 볼 수 있어요!

베이비빌리 앱에서 더 많은 베동글을 볼 수 있어요!
2026년 3월 베동
/ 임신고민
20주 초음파 성별 같이 봐주세요!

20주 5일차에요! 오늘 병원 갔는데, 아들인 것 같다고 하시는데~ 확실하게 말씀해주시진 않아서요! 이정도면 아들 맞겠죠? ㅎㅎ
댓글
3
완전 아들이용ㅋㅋㅋㅋ
아들 맞는거 같아요! 아들맘 환영해용🩷🥰
아들인거같아용ㅎㅎ
함께 많이 본 베동글
🔥 실시간 2026년 3월 베동 인기글

베이비빌리 앱 다운로드받고 다른 엄빠들이 작성한 다양한 고민&꿀팁글을 구경해보세요
주식회사 빌리지베이비
대표이사 이정윤
통신판매업신고번호
|
사업자등록번호 581-88-01277
|
서울특별시 영등포구 의사당대로 83, 오투타워 4층
|
|
Language
Copyright Baby Billy. All rights reserved.
주식회사 빌리지베이비
대표이사 이정윤
통신판매업신고번호
사업자등록번호 581-88-01277
서울특별시 영등포구 의사당대로 83, 오투타워 4층
|
|
Language
Copyright Baby Billy. All rights reserved.