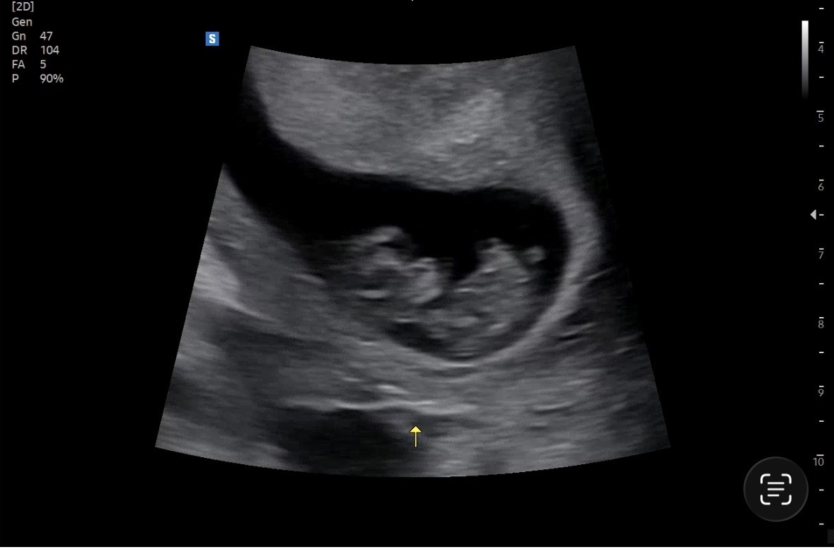
저도 비슷한 경험했어서 댓글 남겨요! 저랑 케이스가 다를 수도 있지만 제가 촘파 볼때마다 의사선생님께서 뿌옇게 보이는거는 배에 가스가 많이 차서 그런거다~ 요즘 가스 많이 차죠~ 임신하면 당연한거에요~~ 라고 하셨어요!
2026년 6월 베동
/ 임신고민
초음파 선명도

안녕하세요! 임신 10주차 맘입니다. 빌리나 인스타에서 보면 다른 엄마들의 아가 초음파가 진짜 선명하고 아가도 예뿌게 똬! 보이는데… 저희 말랑이는 매번 뿌얀느낌? 잘 안보이는 느낌이라 혹시 저 같은 분도 계시나 궁금해서 게시글 써봅니다! 혹시 나의 뱃살 탓인가…? 저처럼 초음파 뚜렷하게 안 찍히는 예비남들 계신가용??? 병원에서는 늘 아가 건강하게 잘 있다고 하시지만 괜히 불안하고 궁금한 마음에 여쭤봅니당. 감사합니다 :)
댓글
1

감사합니다!! 그런 부분이라면 안심이 되네요 헤헤
2026년 6월 베동 베동 전체글
함께 많이 본 베동글

베이비빌리 앱 다운로드받고 다른 엄빠들이 작성한 다양한 고민&꿀팁글을 구경해보세요


