남매맘 축하요! 저도요 ㅎㄹ 전 첫째 아들인데 둘째 딸이요! :) 결과 나올때 보니 저 딸 원했더라구요 ㅎㅎ
2026년 5월 베동
/ 자유주제
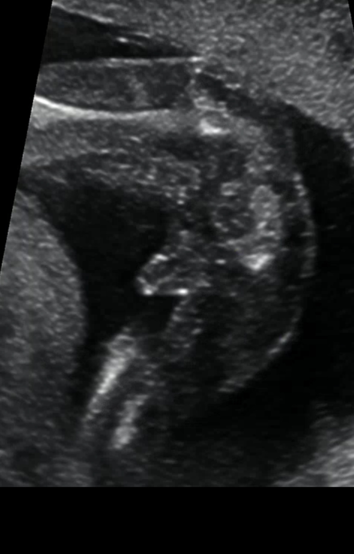
남매맘 확정❤️

17주 아들 확정이에요 첫째는 딸인데 둘째는 아들이라 너무 기대됩니당 ㅎㅎㅎ
댓글
2
꺄 제 로망이에요~ 남매💖 축하드려요
함께 많이 본 베동글
🔥 실시간 2026년 5월 베동 인기글

베이비빌리 앱 다운로드받고 다른 엄빠들이 작성한 다양한 고민&꿀팁글을 구경해보세요

베이비빌리 앱에서
더 많은 베동글을 볼 수 있어요!

베이비빌리 앱에서 더 많은 베동글을 볼 수 있어요!
2026년 5월 베동
/ 자유주제
남매맘 확정❤️

17주 아들 확정이에요 첫째는 딸인데 둘째는 아들이라 너무 기대됩니당 ㅎㅎㅎ
댓글
2
남매맘 축하요! 저도요 ㅎㄹ 전 첫째 아들인데 둘째 딸이요! :) 결과 나올때 보니 저 딸 원했더라구요 ㅎㅎ
꺄 제 로망이에요~ 남매💖 축하드려요
함께 많이 본 베동글
🔥 실시간 2026년 5월 베동 인기글

베이비빌리 앱 다운로드받고 다른 엄빠들이 작성한 다양한 고민&꿀팁글을 구경해보세요
주식회사 빌리지베이비
대표이사 이정윤
통신판매업신고번호
|
사업자등록번호 581-88-01277
|
서울특별시 영등포구 의사당대로 83, 오투타워 4층
|
|
Language
Copyright Baby Billy. All rights reserved.
주식회사 빌리지베이비
대표이사 이정윤
통신판매업신고번호
사업자등록번호 581-88-01277
서울특별시 영등포구 의사당대로 83, 오투타워 4층
|
|
Language
Copyright Baby Billy. All rights reserved.