삭제된 댓글이에요
2026년 7월 베동
/ 임신고민
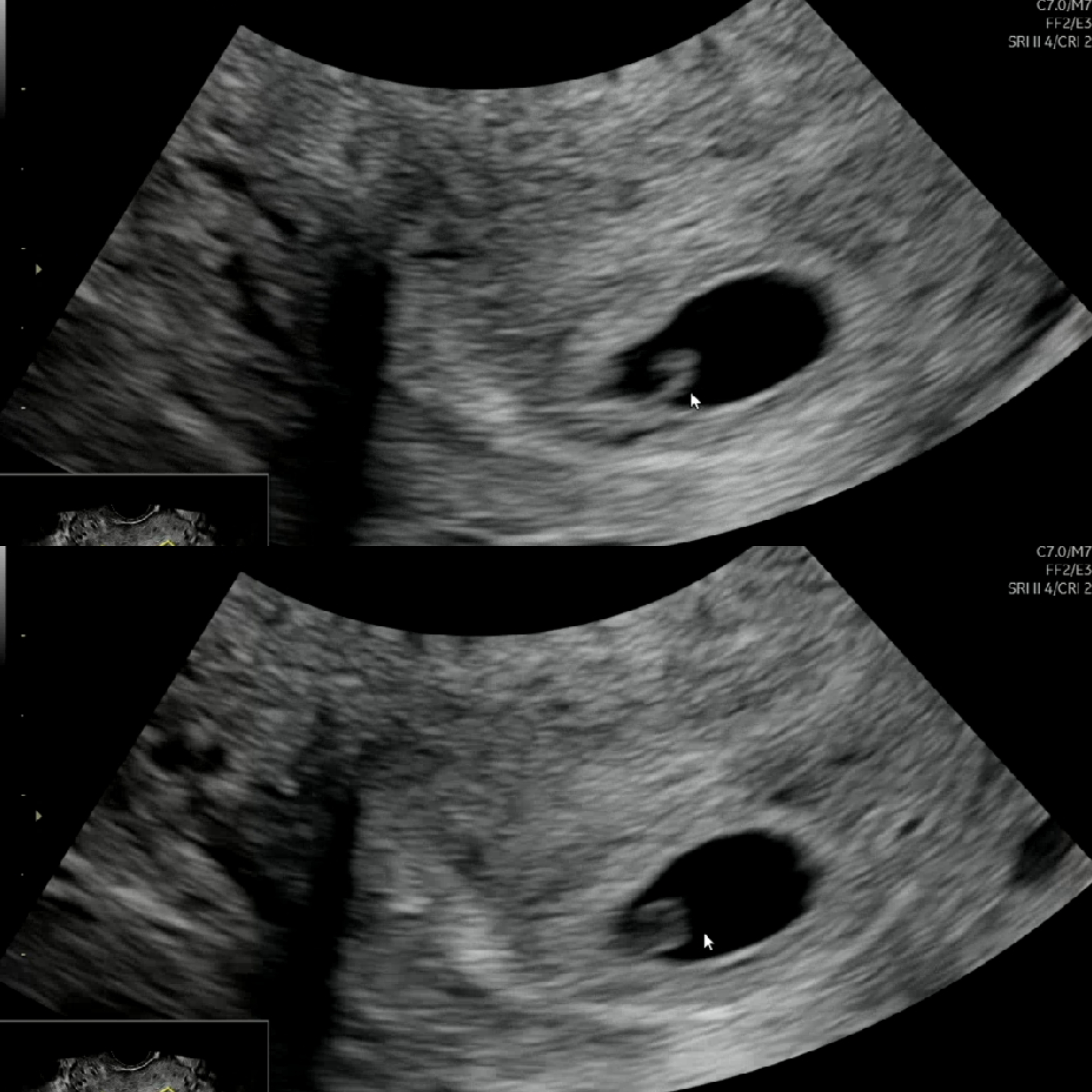
초음파 한번만 봐주세요!

11월24일 월요일 아기집 0.44 확인 오늘 11월29일 토요일 아기집 1.33 확인 난황확인 6주1일이라고 되어있어요 제가보기엔 난황으로만안보이고 태아로도보이는거같은데 아닌가요? 심소는 체크도 안해주셨어요그냥 난황이라고하셨어요 이렇게커요 난황?
댓글
1

난황이 이렇게 구불? 큰지 몰랐어요!ㅠㅠ 심소듣기 너무 힘드네용..ㅠㅠ
2026년 7월 베동 베동 전체글
함께 많이 본 베동글

베이비빌리 앱 다운로드받고 다른 엄빠들이 작성한 다양한 고민&꿀팁글을 구경해보세요


