엄청 예쁜 다이아반지네요 🤍
2026년 8월 베동
/ 임신고민
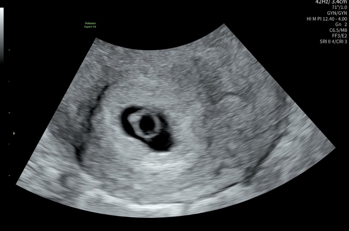
오늘 6주 다이아반지 보고왔어요✨

자궁외 임신 후에 찾아온 소중한 아이 ㅎㅎ 심장소리도 들었는데 엄청 귀여워요 ㅠㅠ
댓글
3
우와 진짜 다이아 모양이네요!! 너뮤이뻐요오오오
진짜 귀엽고 예뻐요. 축하해요❤️ 예쁜 아기 건강하게 자라서 엄마 만나길🫶🏻
2026년 8월 베동 베동 전체글
함께 많이 본 베동글

베이비빌리 앱 다운로드받고 다른 엄빠들이 작성한 다양한 고민&꿀팁글을 구경해보세요


