6주3일쯤가면 심소들으시겠네요!
2026년 8월 베동
/ 임신고민
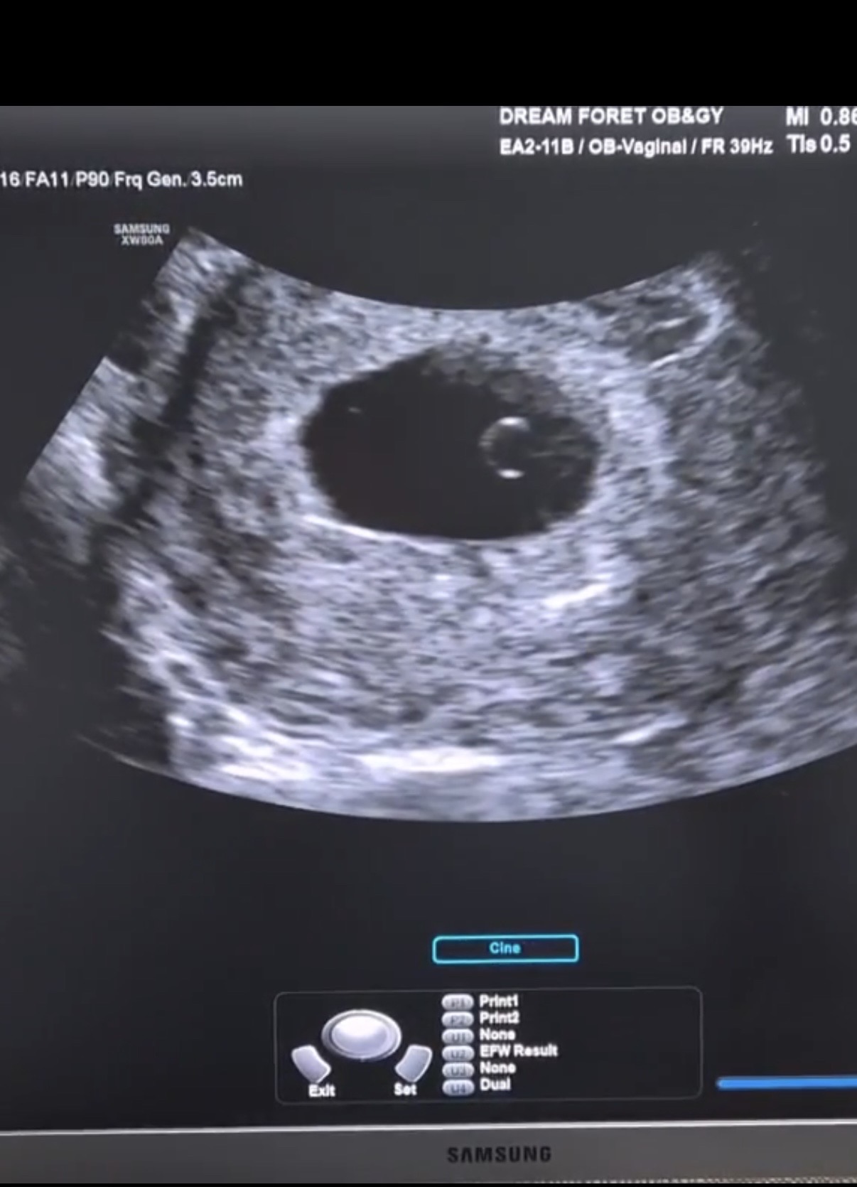
5주차 난황 확인했어요𖤐

주말에 병원 가서 아기집이랑 난황 보고 왔어요!! 막생 기준 5주 6일이었는데, 병원에서는 5주 1일차라고 하시구 예정일 얘기해주셨어요 ㅎㅎ 일주일 전에는 안보이던 아기집이랑 난황이 보여서 신기했어요☺️ 이제 심소 들으면 더 신기하겠죠?👶🏻
댓글
1
2026년 8월 베동 베동 전체글
함께 많이 본 베동글

베이비빌리 앱 다운로드받고 다른 엄빠들이 작성한 다양한 고민&꿀팁글을 구경해보세요


