안녕하세요 엄빠님! 베이비빌리입니다. 각도법이 궁금하신 엄빠님께만 알려드려요🙋🏻♀️🙋🏻♂️ 각도법에 관심 있는 엄빠들이 모여있는 게시글에서 의견을 나누어보면 어떨까요?👼🏻 또, 빌리AI로 각도법을 검사하는 미니 테스트 서비스도 오픈 되었다는 깜짝 소식이 두두등장! 지금 바로 각도법으로 울 아기 성별을 추측해보세요😍 👉🏻 지금 바로 성별 질문 남기기 https://app.babybilly.app/2mw1oe ⭐빌리AI로 각도법 검사하는 미니 테스트 서비스 오픈! https://gender-test.babybilly.co/ 한 번 무료로 검사해보시고 결과가 잘 맞는지 빌리에게도 알려주시기로, 약-똑!😍
2026년 6월 베동
/ 성별질문
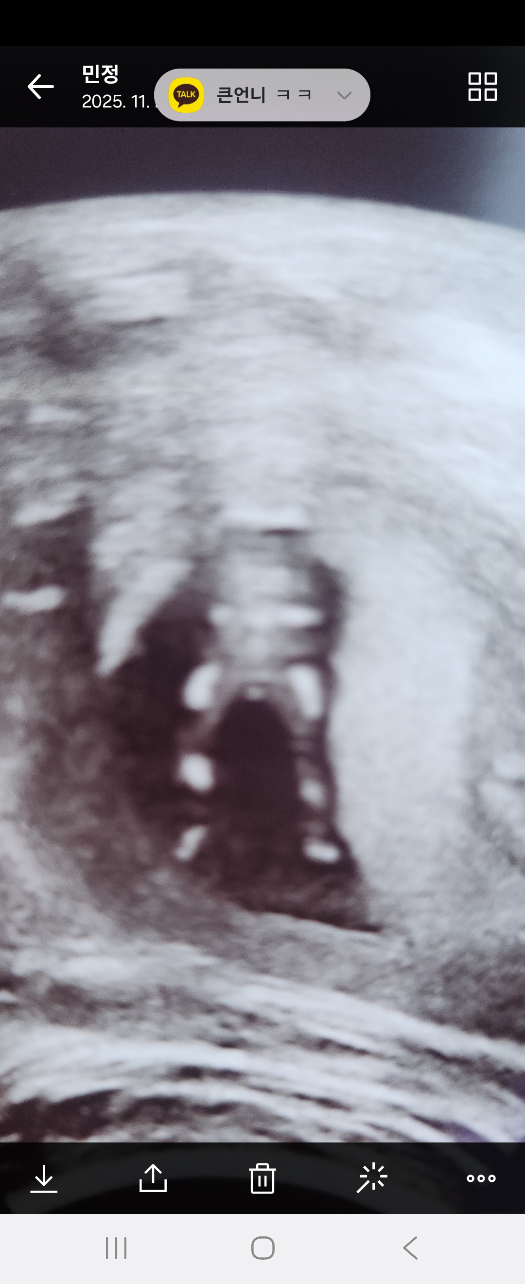
12주차 초음파사진인데 아들일지..ㅜㅜ봐주세요

다리 가운데 뭔가 떡하니 있는데 아직 성별은 모를시기라고 하시더라구요. 딸바라지 말라고 우리 콩이가 떡하니 보여주는 건지 아님 아직 기대를 저버리지 않아도 될지 ㅎㅎ 다들 보시기에 아들일까요?ㅠ
BETA
우리 아기 성별이 궁금하다면?
초음파 사진을 올리면 AI가 무료로 예측해줘요
댓글
3
저 시기엔 모른다고 하더라고요 다리사이는 탯줄일 수 도 있대요!

다음주에 병원가면 알듯한데 너무 궁금하네요ㅎㅎ답변 감사해요
2026년 6월 베동 베동 전체글
함께 많이 본 베동글

베이비빌리 앱 다운로드받고 다른 엄빠들이 작성한 다양한 고민&꿀팁글을 구경해보세요


