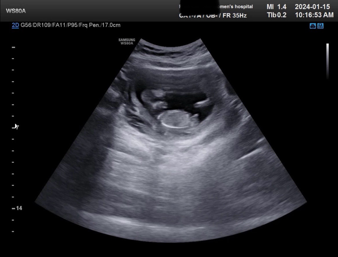
저 12주에 아들이라고 하셨다가 15주에 딸로 바꼈어요! 아직 몰라요ㅠㅠㅠㅠ
2024년 7월 베동
/ 자유주제
12주1일 아들같다는데 아들 맞을라나요??ㅎㅎ

원장님이 뭐가 보인다고 하시며 아들같다는데 아들 맞을까요?? 제눈에도 보이긴해요ㅋㅋㅋ
댓글
3
오 아들 한표요 ㅎㅎㅎ
각도는 아들각도같네용!
함께 많이 본 베동글
🔥 실시간 2024년 7월 베동 인기글

베이비빌리 앱 다운로드받고 다른 엄빠들이 작성한 다양한 고민&꿀팁글을 구경해보세요

베이비빌리 앱에서
더 많은 베동글을 볼 수 있어요!

베이비빌리 앱에서 더 많은 베동글을 볼 수 있어요!
2024년 7월 베동
/ 자유주제
12주1일 아들같다는데 아들 맞을라나요??ㅎㅎ

원장님이 뭐가 보인다고 하시며 아들같다는데 아들 맞을까요?? 제눈에도 보이긴해요ㅋㅋㅋ
댓글
3
저 12주에 아들이라고 하셨다가 15주에 딸로 바꼈어요! 아직 몰라요ㅠㅠㅠㅠ
오 아들 한표요 ㅎㅎㅎ
각도는 아들각도같네용!
함께 많이 본 베동글
🔥 실시간 2024년 7월 베동 인기글

베이비빌리 앱 다운로드받고 다른 엄빠들이 작성한 다양한 고민&꿀팁글을 구경해보세요
주식회사 빌리지베이비
대표이사 이정윤
통신판매업신고번호
|
사업자등록번호 581-88-01277
|
서울특별시 영등포구 의사당대로 83, 오투타워 4층
|
|
Language
Copyright Baby Billy. All rights reserved.
주식회사 빌리지베이비
대표이사 이정윤
통신판매업신고번호
사업자등록번호 581-88-01277
서울특별시 영등포구 의사당대로 83, 오투타워 4층
|
|
Language
Copyright Baby Billy. All rights reserved.