다리사이인가용?
2024년 7월 베동
/ 자유주제
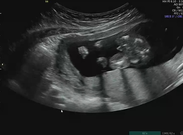
성별보러 병원다녀왔어요!

의사선생님은 애매하지만 딸 같다고 하셨는데 간호사선생님이 예약잡아주시면서 “저는 아들에 한표요..^^” 라고 하셔서 혼란스러워졌어요ㅠㅠ 제가 보기에도 딸 같긴한데.. 어떤 것 같은지 봐주세요!!!
댓글
6

네!! 다리사이에 쪼그만 삼각형!🌶️

주수에 따라 다를 듯 한데.. 14주 이상이면 아들이요! 저 자매맘..인데 그냥 매끈 그자체에요.. 삼각점 같기두 하구요

그렇군요..!! 주수는 16주에요!! 댓글 감사합니다 ㅎㅎ♥️
저도 애매한데 딸같다고 하셧는데 진짜 딸이용 !!!!ㅎㅎ

저도 진짜 딸이었으면 좋겠는 바램이..ㅎㅎㅎ
2024년 7월 베동 베동 전체글
함께 많이 본 베동글

베이비빌리 앱 다운로드받고 다른 엄빠들이 작성한 다양한 고민&꿀팁글을 구경해보세요


