헐 귀여워요 앙증맞은 팔다리를 팔딱팔딱 거린다니🥹💚
2024년 9월 베동
/ 자유주제
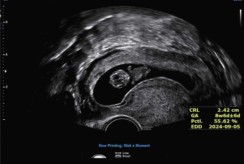
오늘 완벽한 젤리곰보고왔어요:)

9주0일로 팔다리 펄떡펄떡 하는것도 보고왔네용
댓글
16
우와 사진 너무 잘찍었는데요👍🏻👍🏻

탈퇴한 유저
저랑 하루차이세요~전 예정일 9월6일이예요^^ 7주 4일 건강한모습보고 2월5일 9주4일가는데...젤리곰으로 변해있겟죠?넝 기대되고 떨려요 6주만 건강히 넘기자햇는데...벌써9주 감사한맘예요🫶

엄청 커있을거에용!! ㅎㅎ 저는 빨리 12주되엇음좋겟네용


탈퇴한 유저
사실...저도 12주됫음 좋겟어요^^♡
헐 너무귀여워요ㅠㅠㅠㅠㅠㅠㅠ 저도 빨리보고싳은데 시간이 넘넘안가내여…

저도 시간이 엄청 안갔어요 ㅠ ㅠ 이젠 3주남았어용

저두 오늘 피검때매갔다가 초음파하고싶다고 우겨서 심소듣고왔는데 ㅎㅎ 4일만에 훌쩍컸더라구요!!! 그래듀 기다리는 시간이 길어질수록 기대하고 가는거같아요🤭🤭🤭얼마나 커졌을까!!

9주부터는 하루에 1.5미리씩 커진다는데 기대되네용 ㅎㅎ

와… ㅠㅠㅠㅠㅠ 엄청난거같아요 아가들은 마미님 꼭 3주뒤에 초음파 올려주세용 기억하고있을게요 ㅎㅎ😍😍
너무너무 귀여워용 😍

하리보때 딱 찍어서 좋네욤 ㅎㅎ
2024년 9월 베동 베동 전체글
함께 많이 본 베동글

베이비빌리 앱 다운로드받고 다른 엄빠들이 작성한 다양한 고민&꿀팁글을 구경해보세요


