춈파사진이 잘 안보여요ㅠㅠ
2024년 7월 베동
/ 자유주제
성별

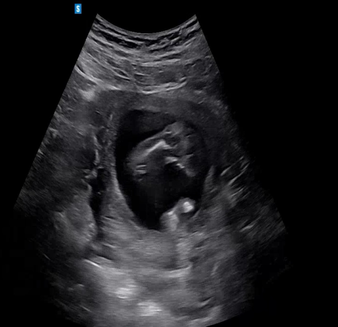
16주차에 초음파 보고 왔는데 여아일까요 남아일까요??? 다른분들은 선명하게 보이시던데 제 초음파는 좀 흐리게 보여서요 배동님들이 보시기에 어때 보이시나요 ㅜㅠ 너무 궁금해요
댓글
2
촘파 사진이 흐리고 애매해서 잘 모르게써요ㅠㅠ
함께 많이 본 베동글
🔥 실시간 2024년 7월 베동 인기글

베이비빌리 앱 다운로드받고 다른 엄빠들이 작성한 다양한 고민&꿀팁글을 구경해보세요

베이비빌리 앱에서
더 많은 베동글을 볼 수 있어요!

베이비빌리 앱에서 더 많은 베동글을 볼 수 있어요!
2024년 7월 베동
/ 자유주제
성별

16주차에 초음파 보고 왔는데 여아일까요 남아일까요??? 다른분들은 선명하게 보이시던데 제 초음파는 좀 흐리게 보여서요 배동님들이 보시기에 어때 보이시나요 ㅜㅠ 너무 궁금해요
댓글
2
춈파사진이 잘 안보여요ㅠㅠ
촘파 사진이 흐리고 애매해서 잘 모르게써요ㅠㅠ
함께 많이 본 베동글
🔥 실시간 2024년 7월 베동 인기글

베이비빌리 앱 다운로드받고 다른 엄빠들이 작성한 다양한 고민&꿀팁글을 구경해보세요
주식회사 빌리지베이비
대표이사 이정윤
통신판매업신고번호
|
사업자등록번호 581-88-01277
|
서울특별시 영등포구 의사당대로 83, 오투타워 4층
|
|
Language
Copyright Baby Billy. All rights reserved.
주식회사 빌리지베이비
대표이사 이정윤
통신판매업신고번호
사업자등록번호 581-88-01277
서울특별시 영등포구 의사당대로 83, 오투타워 4층
|
|
Language
Copyright Baby Billy. All rights reserved.