음..초음파상 뭔가 살짝 보이는게..아들일 듯 합니디☺️
2024년 8월 베동
/ 자유주제
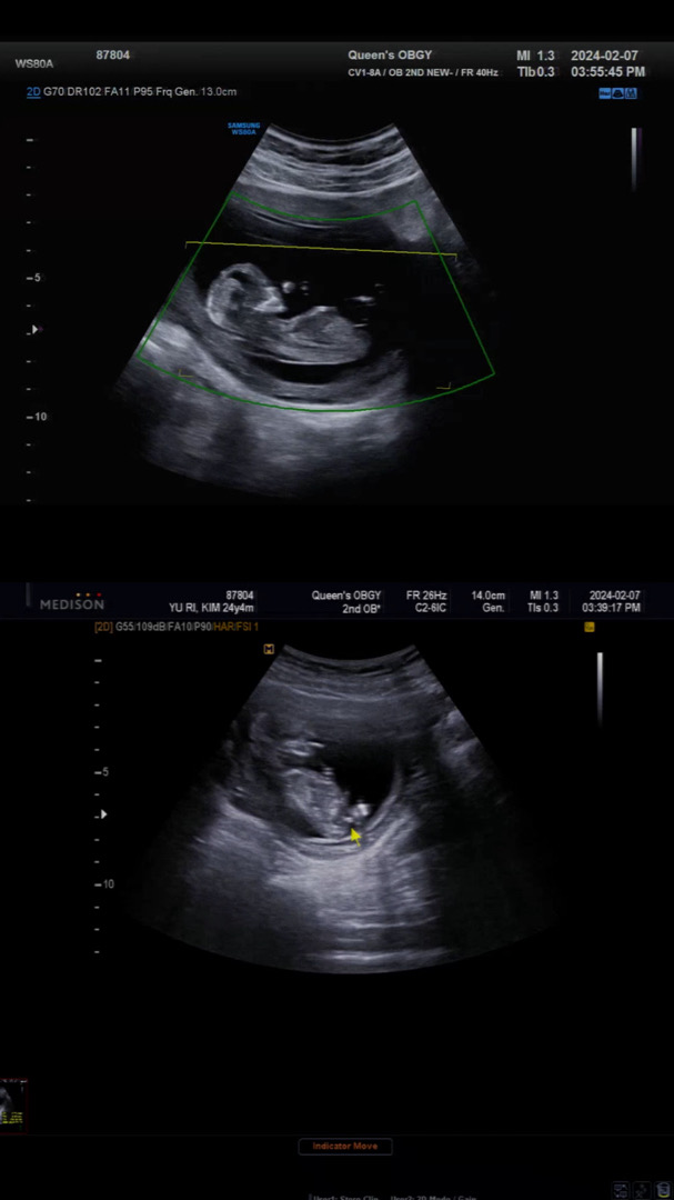
12주3일 성별

안녕하세요 글은 처음쓰네용 산부인과 근무중이라 저희병원 원장님께 진료 보고있어서 성별을 빨리 알려주셨습니다 확정은 아니고 아들같은데~? 이러셨는데 반전이 있을지 ..?
댓글
4

원장님도 저길 보면서 아들같은데~ 라하셨어요 🤣🤣🫢
엇 근데 아들인거 같아요!

태몽도 딸이였고 입덧도 딸 증상이였는데 그런건 없었나봐요 🤣🤣 전 굳이 고르자면 아들 원해서 좋지만 남편은 조금 속상해할듯해요 🤭🤭
2024년 8월 베동 베동 전체글
함께 많이 본 베동글

베이비빌리 앱 다운로드받고 다른 엄빠들이 작성한 다양한 고민&꿀팁글을 구경해보세요


