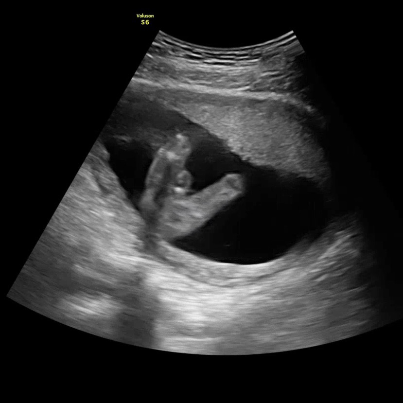
저는 미사일처럼 딱보이긴했는데 뭉툭해보여서ㅋ잘모르겠네요ㅋ
2024년 7월 베동
/ 자유주제
15주4일차 아들인지 확인부탁드려요

보이는게 있다고 하셨는데 저게 🌶️인가요?! 아직 16주가 안되서 긴가민가한 상태인데 아들인지 아닌지 궁금하네요~!
댓글
1
함께 많이 본 베동글
🔥 실시간 2024년 7월 베동 인기글

베이비빌리 앱 다운로드받고 다른 엄빠들이 작성한 다양한 고민&꿀팁글을 구경해보세요

베이비빌리 앱에서
더 많은 베동글을 볼 수 있어요!

베이비빌리 앱에서 더 많은 베동글을 볼 수 있어요!
2024년 7월 베동
/ 자유주제
15주4일차 아들인지 확인부탁드려요

보이는게 있다고 하셨는데 저게 🌶️인가요?! 아직 16주가 안되서 긴가민가한 상태인데 아들인지 아닌지 궁금하네요~!
댓글
1
저는 미사일처럼 딱보이긴했는데 뭉툭해보여서ㅋ잘모르겠네요ㅋ
함께 많이 본 베동글
🔥 실시간 2024년 7월 베동 인기글

베이비빌리 앱 다운로드받고 다른 엄빠들이 작성한 다양한 고민&꿀팁글을 구경해보세요
주식회사 빌리지베이비
대표이사 이정윤
통신판매업신고번호
|
사업자등록번호 581-88-01277
|
서울특별시 영등포구 의사당대로 83, 오투타워 4층
|
|
Language
Copyright Baby Billy. All rights reserved.
주식회사 빌리지베이비
대표이사 이정윤
통신판매업신고번호
사업자등록번호 581-88-01277
서울특별시 영등포구 의사당대로 83, 오투타워 4층
|
|
Language
Copyright Baby Billy. All rights reserved.