넹 아들인거같아요 축하드려용!
2024년 8월 베동
/ 자유주제
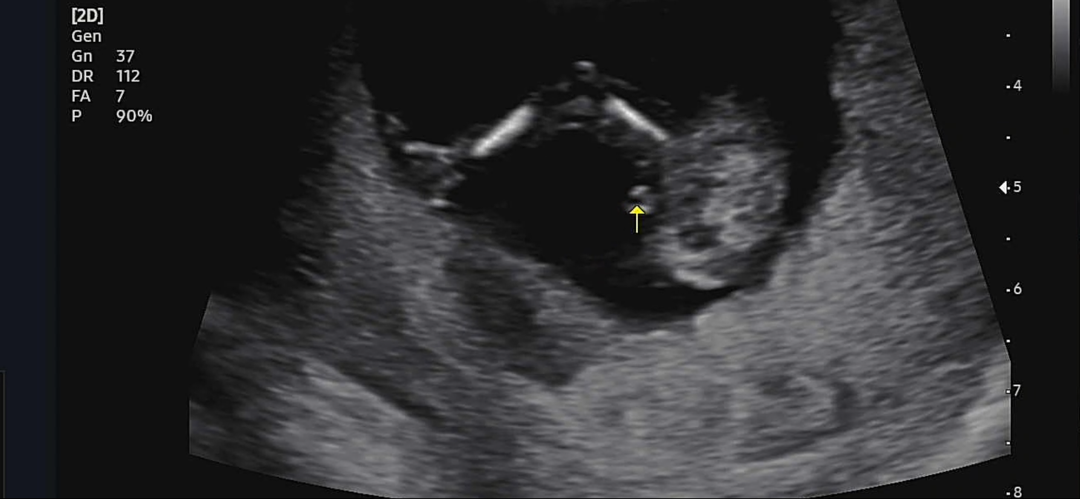
13주2일 이정도면 빼박이겠죠..?

감기기운이 심해 병원갔다왔는데 이정도면 무조건 아들이겠죠!?? 거의 변화없을거같다던데 아들맘인가봐요~!~!
댓글
2

어머나 감사드려용!!
함께 많이 본 베동글
🔥 실시간 2024년 8월 베동 인기글

베이비빌리 앱 다운로드받고 다른 엄빠들이 작성한 다양한 고민&꿀팁글을 구경해보세요

베이비빌리 앱에서
더 많은 베동글을 볼 수 있어요!

베이비빌리 앱에서 더 많은 베동글을 볼 수 있어요!
2024년 8월 베동
/ 자유주제
13주2일 이정도면 빼박이겠죠..?

감기기운이 심해 병원갔다왔는데 이정도면 무조건 아들이겠죠!?? 거의 변화없을거같다던데 아들맘인가봐요~!~!
댓글
2
넹 아들인거같아요 축하드려용!
어머나 감사드려용!!
함께 많이 본 베동글
🔥 실시간 2024년 8월 베동 인기글

베이비빌리 앱 다운로드받고 다른 엄빠들이 작성한 다양한 고민&꿀팁글을 구경해보세요
주식회사 빌리지베이비
대표이사 이정윤
통신판매업신고번호
|
사업자등록번호 581-88-01277
|
서울특별시 영등포구 의사당대로 83, 오투타워 4층
|
|
Language
Copyright Baby Billy. All rights reserved.
주식회사 빌리지베이비
대표이사 이정윤
통신판매업신고번호
사업자등록번호 581-88-01277
서울특별시 영등포구 의사당대로 83, 오투타워 4층
|
|
Language
Copyright Baby Billy. All rights reserved.