저도 담주 수욜 1차 기형아 검사인데 원장님이 나프티 추천 안한다고 하더라구요 제 나이가 많지 않다고.. 그라서 일반 기형아 검사에 취약X계층 그거만 검사하려구요 그거는 첫애 정상이면 둘째,셋째때는 안해도 된다고 하더라구요
2024년 9월 베동
/ 자유주제
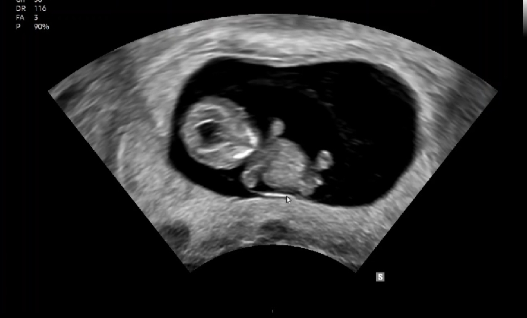
9주 6일♡

안녕하세요 :) 9주 6일차에요!!! 하리보가 파닥거리는거같고 너무 귀여워!!!!!요 애기집도 애기도 건강하게 잘 있어서 다행이에요 ㅠㅠ 3주뒤에 1차 기형아 검사도 예약되어있어서 걱정이에요 다들 얼마짜리로 검사 진행할 예정인가요?? 10만원대랑 50만원대가 있다는데..ㅠㅠ
댓글
7
저는 고민해봤고 여기저기 물어봤는데 기본 10만원대 검사로 하고 거기서 이상소견 나오면 그때 니프티 해봐도 된다고 해서 저늠 그냥 일반 1,2차 기형아검사로 하려고해요!

오 좋은 방법인거같아요 감사합니다:)
너무귀여워요!!! 진짜 젤리곰 모양이네요

감사합니다:)
저도 길고긴 3주 기다리다가 드디어 담주월 1차 기형아 검사받으러가요 벌써부터 무섭고 걱정이에요!보통은 10만원으로 하신다고 하는데 저는 만 35세이상 산모라 50만원대로 할 예정이에요 그래야 맘편할것 같아서요 ㅠㅠ

좋은결과있으실거에요!!!;)
2024년 9월 베동 베동 전체글
함께 많이 본 베동글

베이비빌리 앱 다운로드받고 다른 엄빠들이 작성한 다양한 고민&꿀팁글을 구경해보세요


