미사일~아들이네용
2024년 8월 베동
/ 자유주제
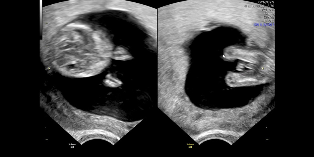
12주 3일에 본 다리사이에 이것은?!

다리 사이에 보이는 이것 아들일까요?? 12주 조금 지나서 보인건데 바뀔 가능성이 있을지 궁금하네요 ㅋㅋㅋ
댓글
4

ㅋㅋㅋㅋ 미사일 ㅋㅋㅋ선명하져
저희 첫째 아들 초음파사진이 딱 저랬어용!ㅋㅋㅋ

빼박 아들인가보네요 ㅋㅋ 안으로 들어가면 좋겠눈데여 ㅠㅋㅋ
2024년 8월 베동 베동 전체글
함께 많이 본 베동글

베이비빌리 앱 다운로드받고 다른 엄빠들이 작성한 다양한 고민&꿀팁글을 구경해보세요


